missing translation for 'onlineSavingsMsg'
Learn More

MED4 Rabbit anti-Human, Mouse, Rat, Clone: 8T5C9, Novus Biologicals™

Product Code. 18363042
Change view
Click to view available options
Quantity:
100 μg
20 μg
Unit Size:
100µL
20µL
2 product options available for selection
Product selection table with 2 available options. Use arrow keys to navigate and Enter or Space to select.
Product Code. Quantity unitSize
18363042 20 μg 20µL
18396776 100 μg 100µL
Use arrow keys to navigate between rows. Press Enter or Space to select a product option. 2 options available.
2 options
This item is not returnable. View return policy
Product Code. 18363042 Supplier Bio-Techne Supplier No. NBP31528720UL

Please to purchase this item. Need a web account? Register with us today!

This item is not returnable. View return policy

Rabbit Monoclonal Antibody

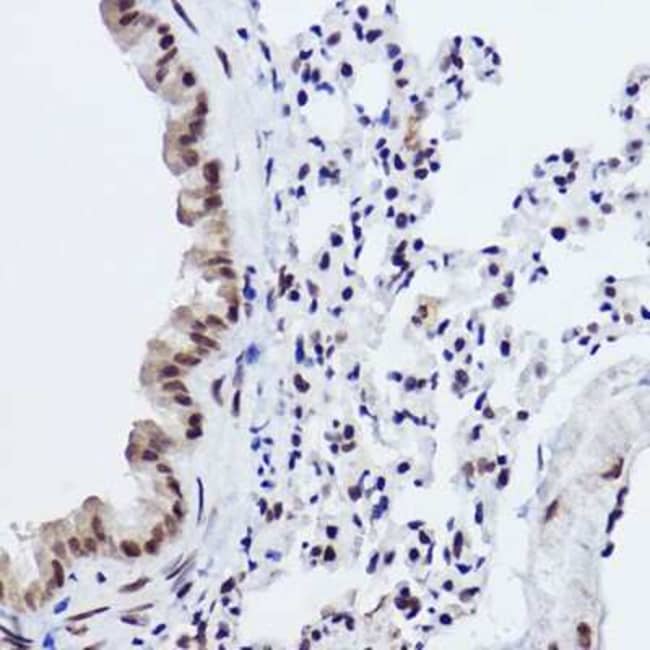
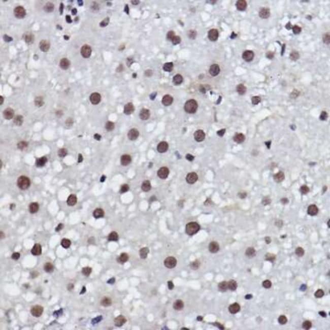
MED4 Monoclonal antibody specifically detects MED4 in Human, Mouse, Rat samples. It is validated for Western Blot, Immunohistochemistry, Immunohistochemistry (Paraffin)
TRUSTED_SUSTAINABILITY

Specifications

Antigen MED4
Applications Western Blot, Immunohistochemistry, Immunohistochemistry (Paraffin)
Classification Monoclonal
Clone 8T5C9
Conjugate Unconjugated
Dilution Western Blot, Immunohistochemistry 1:50 - 1:200, Immunohistochemistry-Paraffin
Formulation PBS, 0.05% BSA, 50% glycerol, pH7.3
Gene Alias Activator-recruited cofactor 36 kDa component, DRIP36mediator of RNA polymerase II transcription, subunit 4 homolog (S. cerevisiae), FLJ10956, HSPC126vitamin D receptor interacting protein, mediator complex subunit 4TRAP/SMCC/PC2 subunit p36 subunit, subunit 4 homolog, TRAP36
Host Species Rabbit
Immunogen Recombinant fusion protein containing a sequence corresponding to amino acids 150-250 of human MED4 (Q9NPJ6).
Purification Method Affinity purified
Quantity 20 μg
Regulatory Status RUO
Research Discipline Signal Transduction
Primary or Secondary Primary
Gene ID (Entrez) 29079
Target Species Human, Mouse, Rat
Content And Storage Store at -20°C. Avoid freeze-thaw cycles.
Form Purified
Isotype IgG
Show More Show Less
Product Title
Select an issue

By clicking Submit, you acknowledge that you may be contacted by Fisher Scientific in regards to the feedback you have provided in this form. We will not share your information for any other purposes. All contact information provided shall also be maintained in accordance with our Privacy Policy.