missing translation for 'onlineSavingsMsg'
Learn More
Learn More
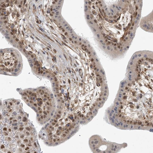
Invitrogen™ MED28 Polyclonal Antibody

Rabbit Polyclonal Antibody
Brand: Invitrogen™ PA557455
This item is not returnable.
View return policy
Description
Immunogen sequence: VIKEDVSELR NELQRKDALV QKHLTKLRHW QQVLEDINVQ HKKPADIPQG SLAYLEQASA NIPAPLKPT Highest antigen sequence identity to the following orthologs: Mouse - 94%, Rat - 96%.
The mediator complex is a multi-protein transcriptional co-activator that is expressed ubiquitously in eukaryotes from yeast to mammals and is required for induction of RNA polymerase II (pol II) transcription by DNA binding transcription factor. One of the proteins in this complex is MED28, also known as Magicin. MED28 is expressed in many cell lines and tissues. It has been shown that a down-regulation of MED28 expression in NIH3T3 cells results in a significant induction of several genes associated with smooth muscle cell differentiation and conversely its over-expression represses expression of SMC genes. MED28 can also form a ternary complex with Grb2 and Merlin, the neurofibromatosis 2 tumor suppressor protein, indicating that MED28 may play a role in Merlin's tumor suppressive activity. MED28 has also been recently identified as an HIV dependency factor (HDF), suggesting that MED28 may be an important drug target in HIV treatment. At least two isoforms of MED28 are known to exist.
Specifications
| MED28 | |
| Polyclonal | |
| Unconjugated | |
| MED28 | |
| 1500003D12Rik; AI451633; AU045690; EG1; endothelial-derived; endothelial-derived gene 1; endothelial-derived protein 1; Fksg20; Magicin; Med28; Mediator complex subunit 28; mediator of RNA polymerase II transcription subunit 28; mediator of RNA polymerase II transcription, subunit 28 homolog; merlin and Grb2-interacting cytoskeletal protein; RGD1305875; Tumor angiogenesis marker EG-1 | |
| Rabbit | |
| Antigen affinity chromatography | |
| RUO | |
| 305391, 66999, 80306 | |
| Store at 4°C short term. For long term storage, store at -20°C, avoiding freeze/thaw cycles. | |
| Liquid |
| Immunohistochemistry (Paraffin), Western Blot | |
| 0.1 mg/mL | |
| PBS with 40% glycerol and 0.02% sodium azide; pH 7.2 | |
| P68943, Q920D3, Q9H204 | |
| MED28 | |
| Recombinant protein corresponding to Human MED28. Recombinant protein control fragment (Product #RP-96636). | |
| 100 μL | |
| Primary | |
| Human, Mouse, Rat | |
| Antibody | |
| IgG |
Product Content Correction
Your input is important to us. Please complete this form to provide feedback related to the content on this product.
Product Title
Spot an opportunity for improvement?Share a Content Correction