missing translation for 'onlineSavingsMsg'
Learn More
Learn More
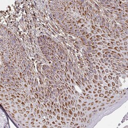
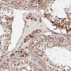
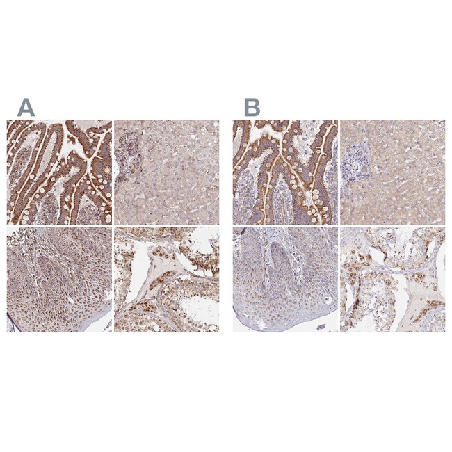
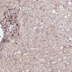
Invitrogen™ MAVS Polyclonal Antibody

Rabbit Polyclonal Antibody
Brand: Invitrogen™ PA5111302
This item is not returnable.
View return policy
Description
Immunogen sequence: PVSPSVSFQP LARSTPRASR LPGPTGSVVS TGTSFSSSSP GLASAGAAEG KQGAESDQAE PIICSSGAEA PANSLPSKVP TTLMPVNTVA LKV Highest antigen sequence indentity to the following orthologs: Mouse - 41%, Rat - 46%.
Two distinct signaling pathways activate the host innate immunity against viral infection. One pathway is reliant on members of the Toll-like receptor (TLR) family while the other uses the RNA helicase RIG-I as a receptor for intracellular viral double-stranded RNA as a trigger for the immune response. MAVS is a mitochondrial membrane protein that was identified as a critical component in the IFN beta signaling pathways that recruits IRF-3 to RIG-I, leading to its activation and that of NF-kappa-B. MAVS is also thought to interact with other components of the innate immune pathway such as the TLR adapter protein TRIF, TRAF2 and TRAF6. MAVS also interacts with the IKK-alpha, IKK-beta and IKK-iota kinases through its C-terminal region. Cleavage of this region by the Hepatitis C virus (HCV) protease allows HCV to escape the host immune system. Multiple isoforms of MAVS are known to exist.
Specifications
| MAVS | |
| Polyclonal | |
| Unconjugated | |
| MAVS | |
| CARD adapter inducing interferon beta; CARD adaptor inducing IFN-beta; Cardif; D430028G21Rik; IFN-B promoter stimulator 1; IFN-beta promoter stimulator-1; interferon beta promoter stimulator protein 1; interferon-beta promoter stimulator protein 1; IPS1; IPS-1; KIAA1271; MAVS; mitochondrial antiviral signaling protein; mitochondrial anti-viral signaling protein; mitochondrial antiviral-signaling protein; Putative NF-kappa-B-activating protein 031N; virus-induced signaling adapter; virus-induced signaling adaptor; virus-induced-signaling adapter; VISA | |
| Rabbit | |
| Antigen affinity chromatography | |
| RUO | |
| 57506 | |
| Store at 4°C short term. For long term storage, store at -20°C, avoiding freeze/thaw cycles. | |
| Liquid |
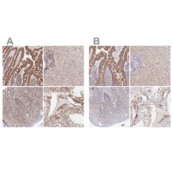
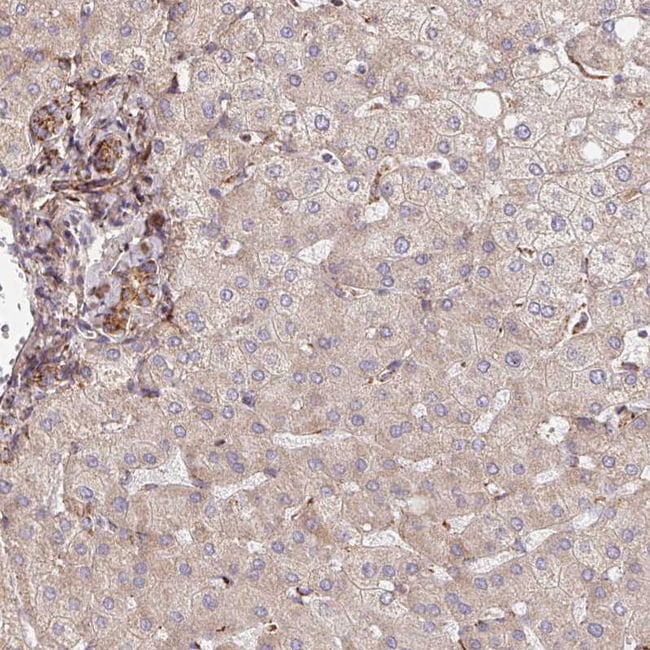
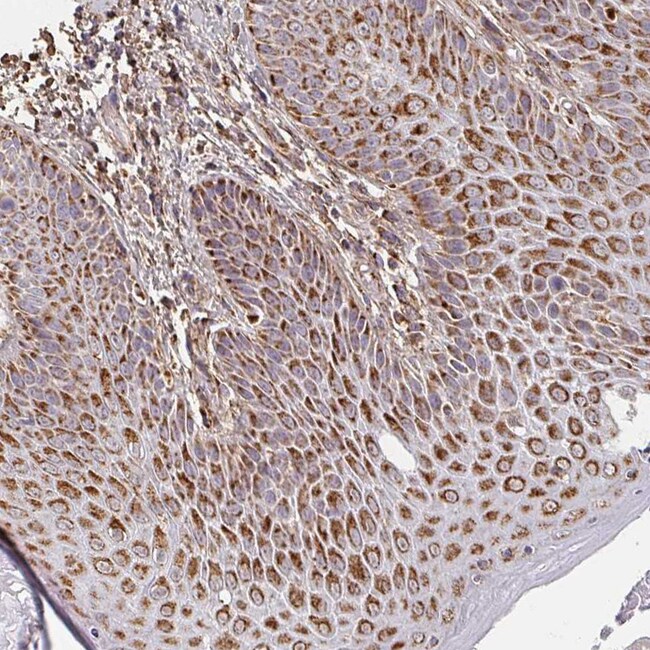
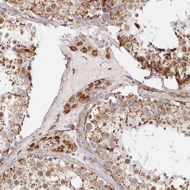
| Immunohistochemistry (Paraffin) | |
| 0.05 mg/mL | |
| PBS with 40% glycerol and 0.02% sodium azide; pH 7.2 | |
| Q7Z434 | |
| MAVS | |
| Recombinant Protein corresonding to Human MAVS. Recombinant protein control fragment (Product #RP-103059). | |
| 100 μL | |
| Primary | |
| Human | |
| Antibody | |
| IgG |
Product Content Correction
Your input is important to us. Please complete this form to provide feedback related to the content on this product.
Product Title
Spot an opportunity for improvement?Share a Content Correction