missing translation for 'onlineSavingsMsg'
Learn More
Learn More
Invitrogen™ MARK2 Recombinant Rabbit Monoclonal Antibody (JE40-97)

Rabbit Recombinant Monoclonal Antibody
Brand: Invitrogen™ MA534825
This item is not returnable.
View return policy
Description
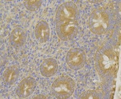
Positive Control: MCF-7, SK-Br-3, human appendix tissue.
MARK2 is a serine/threonine protein kinase involved in the control of cell polarity and microtubule stability. Several cDNA clones have been isolated that encoded two isoforms of the human ser/thr protein kinase EMK1. These isoforms were characterized by the presence of a 162-bp alternative exon that gave rise to two forms, one containing the exon and the other one lacking it. Both forms were found to be coexpressed in a number of selected cell lines and tissue samples. The human EMK1 was shown to be encoded by a single mRNA ubiquitously expressed.
Specifications
| MARK2 | |
| Recombinant Monoclonal | |
| 1 mg/mL | |
| TBS with 0.05% BSA, 40% glycerol and 0.05% sodium azide; pH 7.4 | |
| Q7KZI7 | |
| MARK2 | |
| Recombinant protein within Human MARK2 aa 661-789. | |
| 100 μL | |
| Primary | |
| Human | |
| Antibody | |
| IgG |
| Flow Cytometry, Immunohistochemistry (Paraffin), Western Blot | |
| JE40-97 | |
| Unconjugated | |
| MARK2 | |
| ELKL motif kinase; ELKL motif kinase 1; Emk; EMK1; EMK-1; MAP/microtubule affinity regulating kinase 2; MAP/microtubule affinity-regulating kinase 2; MARK2; mark2 {ECO:0000312; MGC99619; microtubule affinity regulating kinase 2; OTTHUMP00000218338; OTTHUMP00000218339; OTTHUMP00000218340; OTTHUMP00000218343; Par-1; PAR1 homolog; PAR1 homolog b; Par1b; Par-1b; RGD:708483}; Ser/Thr protein kinase PAR-1B; serine/threonine kinase; serine/threonine protein kinase EMK; serine/threonine-protein kinase MARK2; testicular tissue protein Li 117 | |
| Rabbit | |
| Protein A | |
| RUO | |
| 2011 | |
| -20°C, Avoid Freeze/Thaw Cycles, store in dark | |
| Liquid |
Product Content Correction
Your input is important to us. Please complete this form to provide feedback related to the content on this product.
Product Title
Spot an opportunity for improvement?Share a Content Correction