Learn More
Invitrogen™ MAPKAP1 Polyclonal Antibody

Rabbit Polyclonal Antibody
Brand: Invitrogen™ PA583061
Description
Immunogen sequence: ATVQDMLSSH HYKSFKVSMI HRLRFTTDVQ LGISGDKVEI DPVTNQKAST KFWIKQKPIS IDSDLLCACD LAEEKSPSHA IFKLTYLSNH DYKHLYFESD AATVNEIVLK VNYILESRAS TARADYFAQK QRKLNRRTSF SFQKEKKSGQ Highest antigen sequence indentity to the following orthologs: Rat - 97%, Mouse - 97%.
Sin1 was initially identified as the human homolog of S. pombe SIN1. Recent evidence has shown that it identical to Mip1, a protein that interacts with MEKK2, a member of the mitogen-activated protein kinase (MAPK) intracellular signaling network. MAPKAP1 is thought to prevent MEKK2 activation and dimerization by forming a complex with the inactive and non-phosphorylated MEKK2, thereby blocking the JNK1/2, ERK1/2, p38 and ERK5 MAPKs. MAPKAP1 has also been shown to play a role in the TOR signaling process, a pathway that is involved in controlling cell growth and proliferation in response to environmental cues such as nutrients, growth factors and hormones. Experiments showed that MAPKAP1 helped to maintain the TOR/rictor assembly but not the TOR/RAPTOR complex, which allowed specific phosphorylation of Akt, a kinase that is believed to couple the growth factor-PI3K signaling pathway to the nutrient-regulated TOR signaling pathway. Multiple alternatively spliced isoforms of MAPKAP1 have been identified.
Specifications
| MAPKAP1 | |
| Polyclonal | |
| Unconjugated | |
| MAPKAP1 | |
| AI591529; D230039K05Rik; im:7143088; JC310; MAPK associated protein 1; mapkap1; MEKK2-interacting protein 1; MGC2745; Mip1; MIP1SIN1SIN1b; mitogen activated protein kinase associated protein 1; mitogen-activated protein kinase 2-associated protein 1; mitogen-activated protein kinase associated protein 1; mSIN1; ras inhibitor MGC2745; RP11-269P11.1; SAPK interacting protein; SAPK-interacting protein 1; si:ch73-242f23.1; SIN1; SIN1b; SIN1g; stress-activated map kinase interacting protein 1; stress-activated map kinase-interacting protein 1; stress-activated protein kinase-interacting 1; target of rapamycin complex 2 subunit MAPKAP1; TORC2 subunit MAPKAP1 | |
| Rabbit | |
| Antigen affinity chromatography | |
| RUO | |
| 79109 | |
| Store at 4°C short term. For long term storage, store at -20°C, avoiding freeze/thaw cycles. | |
| Liquid |
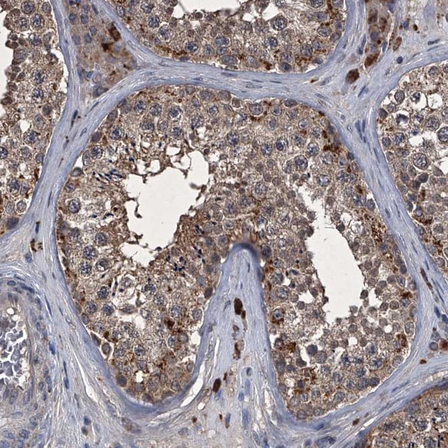
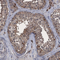
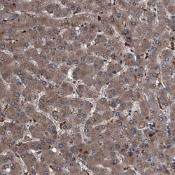
| Immunohistochemistry (Paraffin), Immunocytochemistry | |
| 0.05 mg/mL | |
| PBS with 40% glycerol and 0.02% sodium azide; pH 7.2 | |
| Q9BPZ7 | |
| MAPKAP1 | |
| Recombinant protein corresponding to Human MAPKAP1. Recombinant protein control fragment (Product #RP-89608). | |
| 100 μL | |
| Primary | |
| Human | |
| Antibody | |
| IgG |
Your input is important to us. Please complete this form to provide feedback related to the content on this product.