missing translation for 'onlineSavingsMsg'
Learn More

MALT1 Antibody (MT1/3159R) - Azide and BSA Free, Novus Biologicals™

Product Code. 18359961 Shop All Bio Techne Products
Change view
Click to view available options
Quantity:
100 μg
Unit Size:
100µg
1 product options available for selection
Product selection table with 1 available options. Use arrow keys to navigate and Enter or Space to select.
Product Code. Quantity unitSize
18359961 100 μg 100µg
Use arrow keys to navigate between rows. Press Enter or Space to select a product option. 1 options available.
1 options
This item is not returnable. View return policy
Product Code. 18359961 Supplier Novus Biologicals Supplier No. NBP308825

Please to purchase this item. Need a web account? Register with us today!

This item is not returnable. View return policy

Rabbit Monoclonal Antibody

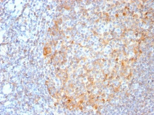
MALT1 Monoclonal specifically detects MALT1 in Human samples. It is validated for Immunohistochemistry-Paraffin.
TRUSTED_SUSTAINABILITY

Specifications

Antigen MALT1
Applications Immunohistochemistry (Paraffin)
Classification Monoclonal
Clone MT1/3159R
Concentration 1 mg/mL
Conjugate Unconjugated
Dilution Immunohistochemistry-Paraffin : 1-2 ug/mL
Formulation 10mM PBS
Gene Alias caspase-like protein, DKFZp434L132, EC 3.4.22.-, MALT associated translocation, MALT lymphoma-associated translocation, MLT1, MLTMALT-lymphoma associated translocation, mucosa associated lymphoid tissue lymphoma translocation gene 1, mucosa-associated lymphoid tissue lymphoma translocation protein 1, paracaspase
Host Species Rabbit
Immunogen Human MALT1 recombinant fragment (aa701-808)
Purification Method Protein A or G purified
Quantity 100 μg
Regulatory Status RUO
Research Discipline Apoptosis, Cancer, Tumor Suppressors
Primary or Secondary Primary
Gene ID (Entrez) 10892
Target Species Human
Content And Storage Store at -20 to -80C. Avoid freeze-thaw cycles.
Form Purified
Isotype IgG
Show More Show Less
Product Title
Select an issue

By clicking Submit, you acknowledge that you may be contacted by Fisher Scientific in regards to the feedback you have provided in this form. We will not share your information for any other purposes. All contact information provided shall also be maintained in accordance with our Privacy Policy.