missing translation for 'onlineSavingsMsg'
Learn More
Learn More
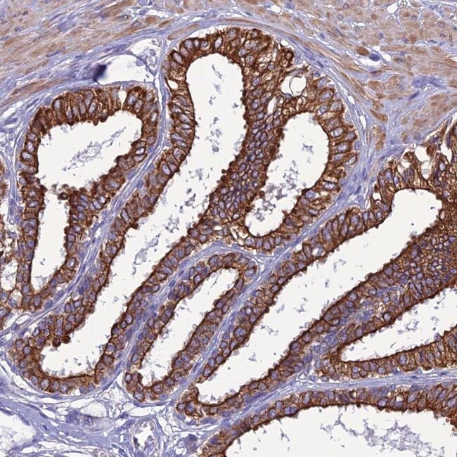
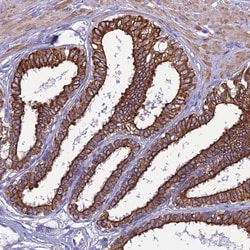
Invitrogen™ LZTS2 Polyclonal Antibody

Rabbit Polyclonal Antibody
Brand: Invitrogen™ PA560871
This item is not returnable.
View return policy
Description
Immunogen sequence: EARATLRVSE GRARGLQEAA RARELELEAC SQELQRHRQE AEQLREKAGQ LDAEAAGLRE PPVPPATADP FLLAESDEAK VQRAA Highest antigen sequence identity to the following orthologs: Mouse - 92%, Rat - 94%.
LZTS2 is a negative regulator of katanin-mediated microtubule severing and release from the centrosome. LZTS2 is required for central spindle formation and the completion of cytokinesis.
Specifications
| LZTS2 | |
| Polyclonal | |
| Unconjugated | |
| LZTS2 | |
| BC014695; HAMAP-Rule:MF_03026}; hLZTS2; KIAA1813; LAPSER1; Leucine zipper putative tumor suppressor 2; leucine zipper putative tumor suppressor 2 {ECO:0000255; leucine zipper tumor suppressor 2; leucine zipper, putative tumor suppressor 2; LOW QUALITY PROTEIN: leucine zipper putative tumor suppressor 2; Lzts2; mKIAA1813; Protein LAPSER1; putative tumor suppressor LAPSER1; RP11-108L7.8 | |
| Rabbit | |
| Antigen affinity chromatography | |
| RUO | |
| 84445 | |
| Store at 4°C short term. For long term storage, store at -20°C, avoiding freeze/thaw cycles. | |
| Liquid |
| Immunohistochemistry (Paraffin), Western Blot, Immunocytochemistry | |
| 0.2 mg/mL | |
| PBS with 40% glycerol and 0.02% sodium azide; pH 7.2 | |
| Q9BRK4 | |
| LZTS2 | |
| Recombinant protein corresponding to Human LZTS2. Recombinant protein control fragment (Product #RP-95504). | |
| 100 μL | |
| Primary | |
| Human | |
| Antibody | |
| IgG |
Product Content Correction
Your input is important to us. Please complete this form to provide feedback related to the content on this product.
Product Title
Spot an opportunity for improvement?Share a Content Correction