missing translation for 'onlineSavingsMsg'
Learn More
Learn More
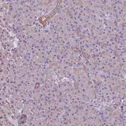
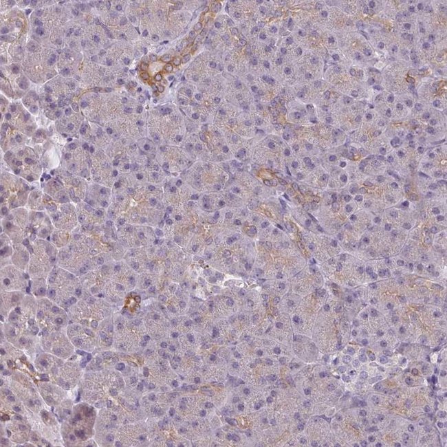
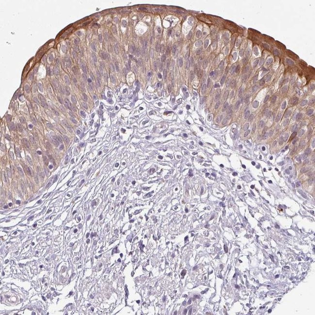
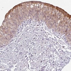
Invitrogen™ LYPLA1 Polyclonal Antibody

Rabbit Polyclonal Antibody
Brand: Invitrogen™ PA562273
This item is not returnable.
View return policy
Description
Immunogen sequence: LTTQQKLAGV TALNCWLPLW ASFPQGPIGG ANRDISILQC HGDCDPLV Highest antigen sequence identity to the following orthologs: Mouse - 88%, Rat - 88%.
Lysophospholipases are enzymes that act on biological membranes to regulate the multifunctional lysophospholipids. The protein encoded by this gene hydrolyzes lysophosphatidylcholine in both monomeric and micellar forms. The use of alternate polyadenylation sites has been found for this gene. There are alternatively spliced transcript variants described for this gene but the full length nature is not known yet.
Specifications
| LYPLA1 | |
| Polyclonal | |
| Unconjugated | |
| LYPLA1 | |
| 25KDL; Acyl-protein thioesterase 1; APT1; APT-1; CaIPLA2; calcium-independent phospholipase A2; calcium-independent phospholipase A2 isoform 1; calcium-independent phospholipase A2 isoform 2; hAPT1; hypothetical protein LOC550279; LPL1; LPL-I; Lypla1; lysophopholipase 1; lysophospholipase 1; Lysophospholipase I; lysophospholipid-specific lysophospholipase; LYSOPLA; lysoPLA I; phospholipase 1a; Pla1a; zgc:110260 | |
| Rabbit | |
| Antigen affinity chromatography | |
| RUO | |
| 10434 | |
| Store at 4°C short term. For long term storage, store at -20°C, avoiding freeze/thaw cycles. | |
| Liquid |
| Immunohistochemistry (Paraffin) | |
| 0.2 mg/mL | |
| PBS with 40% glycerol and 0.02% sodium azide; pH 7.2 | |
| O75608 | |
| LYPLA1 | |
| Recombinant protein corresponding to Human LYPLA1. Recombinant protein control fragment (Product #RP-101240). | |
| 100 μL | |
| Primary | |
| Human | |
| Antibody | |
| IgG |
Product Content Correction
Your input is important to us. Please complete this form to provide feedback related to the content on this product.
Product Title
Spot an opportunity for improvement?Share a Content Correction