missing translation for 'onlineSavingsMsg'
Learn More

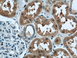
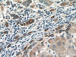
LYN Rabbit anti-Human, Polyclonal, Proteintech

Rabbit Polyclonal Antibody

Brand:  Proteintech 18135-1-AP-150UL

 View more versions of this product

Product Code. 16808184

  • £349.00 / 150µL

Please to purchase this item. Need a web account? Register with us today!

This item is not returnable. View return policy

Description

Description

Prohibitin is an evolutionarily conserved gene that is ubiquitously expressed. It is thought to be a negative regulator of cell proliferation and may be a tumor suppressor. Mutations in PHB have been linked to sporadic breast cancer. Prohibitin is expressed as two transcripts with varying lengths of 3′ untranslated region. The longer transcript is present at higher levels in proliferating tissues and cells, suggesting that this longer 3′ untranslated region may function as a trans-acting regulatory RNA.
Specifications

Specifications

LYN
Polyclonal
Unconjugated
LYN
JTK8, LYN, Tyrosine protein kinase Lyn
Rabbit
Antigen Affinity Chromatography
RUO
4067
-20°C
Liquid
Flow Cytometry, Immunocytochemistry, Immunofluorescence, Immunohistochemistry (Paraffin), Immunoprecipitation
0.39 mg/mL
PBS with 50% glycerol and 0.1% sodium azide; pH 7.3
P07948
LYN
LYN Fusion Protein Ag12723
150 μL
Primary
Human
Antibody
IgG
Product Suggestions

Product Suggestions

Videos
SDS
Documents

Documents

Certificates
Promotions

Promotions

Product Content Correction

Your input is important to us. Please complete this form to provide feedback related to the content on this product.

Product Title

By clicking Submit, you acknowledge that you may be contacted by Fisher Scientific in regards to the feedback you have provided in this form. We will not share your information for any other purposes. All contact information provided shall also be maintained in accordance with our Privacy Policy.

Thank You! Your feedback has been submitted. Fisher Scientific is always working to improve our content for you. We appreciate your feedback.