missing translation for 'onlineSavingsMsg'
Learn More

Invitrogen™ LXR alpha Monoclonal Antibody (PPZ0412)

Mouse Monoclonal Antibody

Brand:  Invitrogen™ 418300

Product Code. 10741954

  • £466.00 / 100µL

Please to purchase this item. Need a web account? Register with us today!


For Research Use Only. All usage must comply with product instructions.
 
This item is not returnable. View return policy

Description

Description

This antibody specifically recognizes human LXR alpha and cross reacts with mouse and rat LXR alpha. This antibody does not recognize human LXR beta.

NR1H3 (oxysterols receptor LXR-alpha) is a nuclear receptor that exhibits a ligand-dependent transcriptional activation activity. Its interaction with retinoic acid receptor (RXR) shifts RXR from its role as a silent DNA-binding partner to an active ligand-binding subunit in mediating retinoid responses through target genes defined by LXRES. LXRES are DR4-type response elements characterized by direct repeats of two similar hexanucleotide half-sites spaced by four nucleotides. NR1H3 plays an important role in the regulation of cholesterol homeostasis, regulating cholesterol uptake through MYLIP-dependent ubiquitination of LDLR, VLDLR, and LRP8. It also interplays functionally with RORA for the regulation of genes involves in liver metabolism.
TRUSTED_SUSTAINABILITY
Specifications

Specifications

LXR alpha
Monoclonal
1 mg/mL
Physiological saline with 0.1% sodium azide
Q13133, Q62685, Q9Z0Y9
NR1H3
Produced in BALB/c mouse ascites after inoculation with hybridoma of mouse myeloma cells (NS-1) and spleen cells derived from a BALB/c mouse immunized with E.coli-expressed recombinant human LXR-alpha (164-447 aa).
100 μL
Primary
Human, Mouse, Rat
Antibody
IgG2a
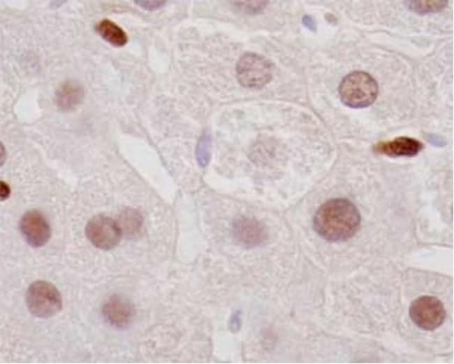
ChIP Assay, ELISA, Gel Shift, Immunohistochemistry (Paraffin), Immunoprecipitation, Western Blot
PPZ0412
Unconjugated
NR1H3
AU018371; liver X nuclear receptor alpha variant 1; liver X receptor alpha; LXR; LXR alpha; Lxra; LXR-a; LXRalpha; LXRb; NER; NERI; NR1H2; Nr1h3; nuclear orphan receptor LXR-alpha; nuclear oxysterol receptor LxR-alpha; nuclear receptor subfamily 1 group H member 3; nuclear receptor subfamily 1, group H, member 3; oxysterols receptor LXR-alpha; RLD1; RLD-1; ubiquitously-expressed nuclear receptor 1; Unr1
Mouse
Ammonium sulfate precipitation
RUO
10062, 22259, 58852
Maintain refrigerated at 2°C to 8°C for up to 1 month. For long term storage store at -20°C
Liquid
Product Suggestions

Product Suggestions

Videos
SDS
Documents

Documents

Certificates
Promotions

Promotions

Product Content Correction

Your input is important to us. Please complete this form to provide feedback related to the content on this product.

Product Title

By clicking Submit, you acknowledge that you may be contacted by Fisher Scientific in regards to the feedback you have provided in this form. We will not share your information for any other purposes. All contact information provided shall also be maintained in accordance with our Privacy Policy.

Thank You! Your feedback has been submitted. Fisher Scientific is always working to improve our content for you. We appreciate your feedback.