missing translation for 'onlineSavingsMsg'
Learn More
Learn More
Invitrogen™ LRFN4 Polyclonal Antibody

Rabbit Polyclonal Antibody
Brand: Invitrogen™ PA520699
This item is not returnable.
View return policy
Description
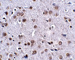
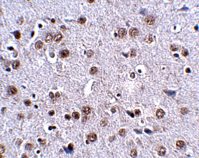
A suggested positive control is rat brain tissue lysate. PA5-20699 can be used with blocking peptide PEP-0814.
LRFN4 is one of a family of five transmembrane glycoproteins that are highly expressed in neuronal tissues. LRFN proteins share leucine-rich repeat (LRR)-immunoglobulin-like (Ig)-fibronectin type III (Fn)-transmembrane domain structure with other members of the LRR-Ig-Fn protein superfamily such as the Slitrk family of proteins. Expression of LRFN1, -3, and -4 mRNA was detected in embryonic neuronal cells, while Lrfn2 and Lrfn5 expression was primarily restricted to more mature cells. LRFN1, -2, and -4 bound to PDZ domains of postsynaptic PSD95, re-distributing PSD95 to the cell periphery. It has been suggested that the Lrfn proteins play a role in the developing and/or mature vertebrate nervous system. At least two isoforms of LRFN4 are known to exist.
Specifications
| LRFN4 | |
| Polyclonal | |
| Unconjugated | |
| LRFN4 | |
| BC023156; fibronectin type III, immunoglobulin and leucine rich repeat domains 6; FIGLER6; leucine rich repeat and fibronectin type III domain containing 4; leucine-rich repeat and fibronectin type-III domain-containing protein 4; Lrfn4; Salm3; SALM3.; synaptic adhesion-like molecule 3 | |
| Rabbit | |
| Antigen affinity chromatography | |
| RUO | |
| 225875, 688721, 78999 | |
| Maintain refrigerated at 2°C to 8°C for up to 3 months. For long term storage store at -20°C | |
| Liquid |
| Immunohistochemistry, Western Blot | |
| 1 mg/mL | |
| PBS with 0.02% sodium azide | |
| D4ABX8, Q6PJG9, Q80XU8 | |
| LRFN4 | |
| a 14amino acid peptide near the carboxy terminus of human LRFN4. | |
| 100 μg | |
| Primary | |
| Human, Mouse, Rat | |
| Antibody | |
| IgG |
Product Content Correction
Your input is important to us. Please complete this form to provide feedback related to the content on this product.
Product Title
Spot an opportunity for improvement?Share a Content Correction