missing translation for 'onlineSavingsMsg'
Learn More

LRAT Polyclonal Antibody, Invitrogen™

Product Code. 15505481
Change view
Click to view available options
Quantity:
100 μg
Unit Size:
100µg
1 product options available for selection
Product selection table with 1 available options. Use arrow keys to navigate and Enter or Space to select.
Product Code. Quantity unitSize
15505481 100 μg 100µg
Use arrow keys to navigate between rows. Press Enter or Space to select a product option. 1 options available.
1 options
This item is not returnable. View return policy
Product Code. 15505481 Supplier Invitrogen Supplier No. PA538556

Please to purchase this item. Need a web account? Register with us today!

This item is currently unavailable or has been discontinued.
View the product page for possible alternatives.
View alternative products

This item is not returnable. View return policy

Rabbit Polyclonal Antibody

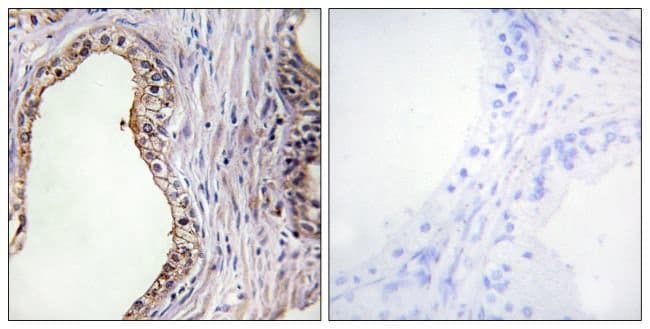
Lecithin retinol acyltransferase (LRAT) is a membrane bound enzyme that catalyzes the transfer of an acyl group from the sn-1 position of lecithin to vitamin A which generates all-trans-retinyl esters (tREs) in the liver, some extrahepatic tissues, such as the lung, and retinal pigmented epithelium. LRAT can also exchange palmitoyl groups between RPE65, a tRE binding protein essential for vision, and tREs, which is important for the operation of the visual pathway. LRAT is essential for the dietary mobilization, transport, and storage of vitamin A as well as the synthesis of the visual pigment chromophore. LRAT monomers interact in membranes to form homodimers through disulfide bond formation. A loss of LRAT correlates with an early onset severe retinal dystrophy and severe retinyl ester deprivation, while a reduction in LRAT expression may be associated with invasive bladder cancer.
TRUSTED_SUSTAINABILITY

Specifications

Antigen LRAT
Applications Immunocytochemistry, Immunofluorescence, Immunohistochemistry (Paraffin), Western Blot
Classification Polyclonal
Concentration 1 mg/mL
Conjugate Unconjugated
Formulation Dulbecco′s PBS with 150mM NaCl, 50% glycerol and 0.02% sodium azide; pH 7.4
Gene LRAT
Gene Accession No. O95237, Q9JI60, Q9JI61
Gene Alias Lecithin retinol acyltransferase, Phosphatidylcholine--retinol O-acyltransferase, Phosphatidylcholine-retinol O-acyltransferase
Gene Symbols LRAT
Host Species Rabbit
Immunogen A synthetic peptide derived from the internal region of human LRAT
Purification Method Antigen affinity chromatography
Quantity 100 μg
Regulatory Status RUO
Primary or Secondary Primary
Gene ID (Entrez) 64047, 79235, 9227
Target Species Human, Mouse, Rat
Content And Storage -20°C
Product Type Antibody
Form Liquid
Isotype IgG
Show More Show Less
Product Title
Select an issue

By clicking Submit, you acknowledge that you may be contacted by Fisher Scientific in regards to the feedback you have provided in this form. We will not share your information for any other purposes. All contact information provided shall also be maintained in accordance with our Privacy Policy.