missing translation for 'onlineSavingsMsg'
Learn More
Learn More
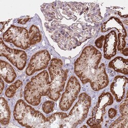
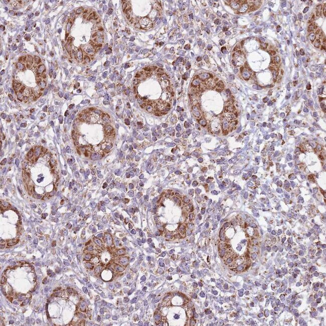
Invitrogen™ LIN7C Polyclonal Antibody

Rabbit Polyclonal Antibody
Brand: Invitrogen™ PA562320
This item is not returnable.
View return policy
Description
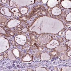
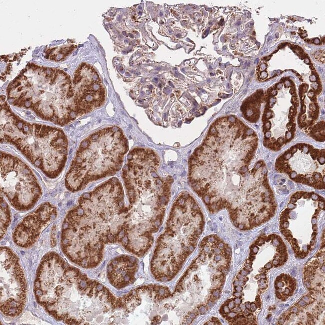
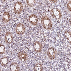
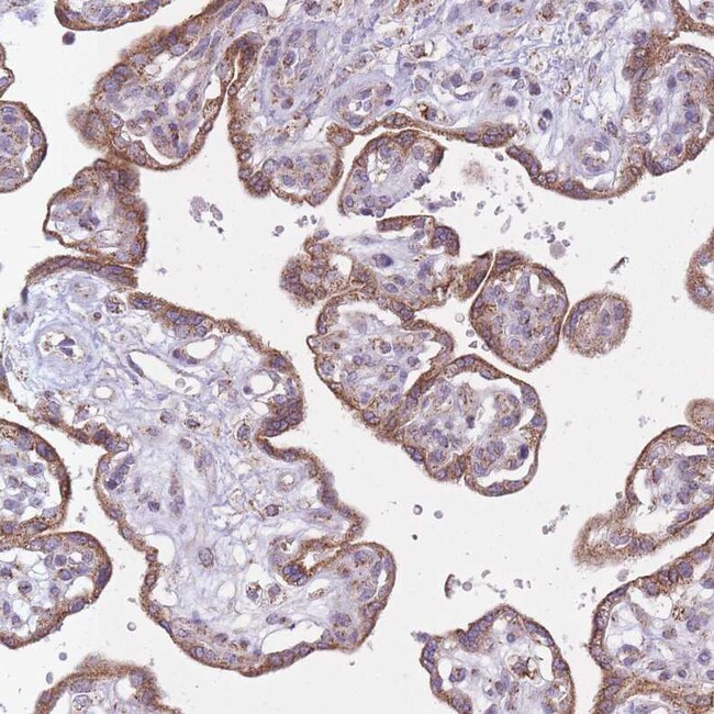
Immunogen sequence: NAVREVYEHV YETVDISSSP EVRAN Highest antigen sequence identity to the following orthologs: Mouse - 100%, Rat - 100%.
Protein assembly at the post synaptic density (PSD) of neuronal synapses is mediated in part by protein interactions with PDZ (PSD-95/discs large/zona occludens-1) motifs. The Mammalian LIN-7 (MALS) proteins are a family of small synaptic proteins that are the mammalian homologs of LIN-7, a C. elegans protein essential for vulval development. MALS proteins are also known as Veli (Vertebrate Lin-7) proteins. MALS-3 mRNA is most abundant in kidney, followed by brain, liver, thymus and heart. MALS-3 is undetectable in spleen. In cultured cortical neurons, MALS proteins are clustered together with PSD-95 and NMDA-type glutamate receptors. MALS proteins are suggested to have roles in regulating the recruitment of neurotransmitter receptors to the PSD and in the assembly of proteins involved in synaptic vesicle exocytosis and synaptic junctions.
Specifications
| LIN7C | |
| Polyclonal | |
| Unconjugated | |
| LIN7C | |
| 9130007B12Rik; AI303698; AU019331; AW125731; D2Ertd520e; EGK_06400; fb75b09; FLJ11215; lin 7 homolog c; lin-7 homolog C; lin-7 homolog C (C. elegans); lin-7 homolog C, crumbs cell polarity complex component; LIN-7 protein 3; Lin7c; LIN-7C; lin-7-C; lin7c protein; MALS3; MALS-3; Mammalian lin-seven protein 3; mLin7C; neuroepithelial polarity protein; protein lin-7 homolog C; Protein lin-7-like protein C; Unknown (protein for MGC:140723); Veli3; veli-3; veli-3 protein; vertebrate homolog of C. elegans Lin-7 type 3; vertebrate lin-7 homolog 3; wu:fb75b09; zgc:101881 | |
| Rabbit | |
| Antigen affinity chromatography | |
| RUO | |
| 55327 | |
| Store at 4°C short term. For long term storage, store at -20°C, avoiding freeze/thaw cycles. | |
| Liquid |
| Immunohistochemistry (Paraffin) | |
| 0.05 mg/mL | |
| PBS with 40% glycerol and 0.02% sodium azide; pH 7.2 | |
| Q9NUP9 | |
| LIN7C | |
| Recombinant protein corresponding to Human LIN7C. Recombinant protein control fragment (Product #RP-99522). | |
| 100 μL | |
| Primary | |
| Human | |
| Antibody | |
| IgG |
Product Content Correction
Your input is important to us. Please complete this form to provide feedback related to the content on this product.
Product Title
Spot an opportunity for improvement?Share a Content Correction