missing translation for 'onlineSavingsMsg'
Learn More

Novus Biologicals™ LIM kinase 2 Antibody (2H2-E11), Novus Biologicals™

Product Code. 18347867 Shop All Bio Techne Products
Change view
Click to view available options
Quantity:
0.1 mg
Unit Size:
0.01mg
1 product options available for selection
Product selection table with 1 available options. Use arrow keys to navigate and Enter or Space to select.
Product Code. Quantity unitSize
18347867 0.1 mg 0.01mg
Use arrow keys to navigate between rows. Press Enter or Space to select a product option. 1 options available.
1 options
This item is not returnable. View return policy
Product Code. 18347867 Supplier Novus Biologicals™ Supplier No. H00003985M01

Please to purchase this item. Need a web account? Register with us today!

This item is not returnable. View return policy

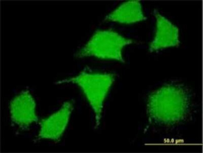
Mouse Monoclonal Antibody

LIM kinase 2 Monoclonal antibody specifically detects LIM kinase 2 in Human samples. It is validated for ELISA,Western Blot,Immunocytochemistry/ Immunofluorescence
TRUSTED_SUSTAINABILITY

Specifications

Antigen LIM kinase 2
Applications ELISA, Western Blot, Immunocytochemistry/Immunofluorescence
Classification Monoclonal
Clone 2H2-E11
Conjugate Unconjugated
Dilution Western Blot 1:500, ELISA, Immunocytochemistry/ Immunofluorescence 1:10-1:2000
Formulation In 1x PBS, pH 7.4
Gene Accession No. AAH13051
Gene Alias EC 2.7.11.1, LIM domain kinase 2, LIMK-2
Host Species Mouse
Immunogen LIMK2 (AAH13051.1, 1 a.a. ∽ 686 a.a) full-length recombinant protein with GST tag. MW of the GST tag alone is 26 KDa. MGSYLSVPAYFTSRDLFRCSECQDSLTNWYYEKDGKLYCPKDYWGKFGEFCHGCSLLMTGPFMVAGEFKYHPECFACMSCKVIIEDGDAYALVQHATLYCGKCHNEVVLAPMFERLSTESVQEQLPYSVTLISMPATTEGRRGFSVSVESACSNYATTVQVKEVNRMHISPNNRNAIHPGDRILEINGTPVRTLRVEEVEDAISQTSQTLQLLIEHDPVSQRLDQLRLEARLAPHMQNAGHPHALSTLDTKENLEGTLRRRSLRRSNSISKSPGPSSPKEPLLFSRDISRSESLRCSSSYSQQIFRPCDLIHGEVLGKGFFGQAIKVTHKATGKVMVMKELIRCDEETQKTFLTEVKVMRSLDHPNVLKFIGVLYKDKKLNLLTEYIEGGTLKDFLRSMDPFPWQQKVRFAKGIASGMAYLHSMCIIHRDLNSHNCLIKLDKTVVVADFGLSRLIVEERKRAPMEKATTKKRTLRKNDRKKRYTVVGNPYWMAPEMLNGKSYDETVDIFSFGIVLCEIIGQVYADPDCLPRTLDFGLNVKLFWEKFVPTDCPPAFFPLAAICCRLEPESRAPPGAAGEGPGCADDEGPVRRQGKVTIKYDPKELRKHLNLEEWILEQLTRLYDCQEEEISELEIDVDELLDMESDDAWASRVKELLVDCYKPTEAFISGLLDKIRAMQKLSTPQKK
Purification Method IgG purified
Quantity 0.1 mg
Regulatory Status RUO
Research Discipline Protein Kinase
Primary or Secondary Primary
Gene ID (Entrez) 3985
Target Species Human
Content And Storage Aliquot and store at -20°C or -80°C. Avoid freeze/thaw cycles.
Form Purified
Isotype IgG1 κ
Show More Show Less
Product Title
Select an issue

By clicking Submit, you acknowledge that you may be contacted by Fisher Scientific in regards to the feedback you have provided in this form. We will not share your information for any other purposes. All contact information provided shall also be maintained in accordance with our Privacy Policy.