missing translation for 'onlineSavingsMsg'
Learn More

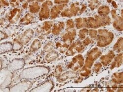
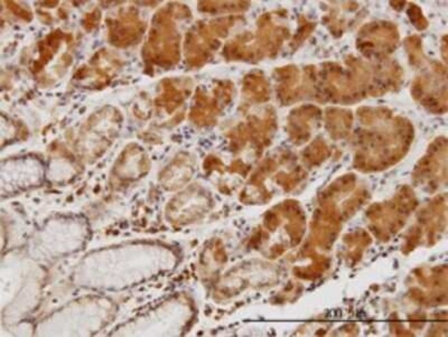
LIM Kinase 1 Antibody (1A8), Novus Biologicals™

Product Code. 18385377 Shop All Bio Techne Products
Change view
Click to view available options
Quantity:
100 μg
Unit Size:
100µg
1 product options available for selection
Product selection table with 1 available options. Use arrow keys to navigate and Enter or Space to select.
Product Code. Quantity unitSize
18385377 100 μg 100µg
Use arrow keys to navigate between rows. Press Enter or Space to select a product option. 1 options available.
1 options
This item is not returnable. View return policy
Product Code. 18385377 Supplier Novus Biologicals Supplier No. H00003984M01100ug

Please to purchase this item. Need a web account? Register with us today!

This item is not returnable. View return policy

Mouse Monoclonal Antibody

LIM Kinase 1 Monoclonal antibody specifically detects LIM Kinase 1 in Human, Mouse, Rat samples. It is validated for Western Blot, ELISA, Immunohistochemistry, Immunohistochemistry (Paraffin), ELISA
TRUSTED_SUSTAINABILITY

Specifications

Antigen LIM Kinase 1
Applications Western Blot, ELISA, Immunohistochemistry, Immunohistochemistry (Paraffin), Sandwich ELISA
Classification Monoclonal
Clone 1A8
Conjugate Unconjugated
Dilution Western Blot 1:500, ELISA, Immunohistochemistry 1:10 to 1:500, Immunohistochemistry-Paraffin 1:10 to 1:500, Sandwich ELISA 1:100 to 1:2000
Formulation In 1x PBS, pH 7.4
Gene Accession No. NP_002305
Gene Alias EC 2.7.11.1, LIM domain kinase 1, LIM motif-containing protein kinase, LIMKLIMK-1
Host Species Mouse
Immunogen LIMK1 (NP_002305, 548 a.a. ~ 647 a.a) partial recombinant protein with GST tag. MW of the GST tag alone is 26 KDa. ADPDYLPRTMDFGLNVRGFLDRYCPPNCPPSFFPITVRCCDLDPEKRPSFVKLEHWLETLRMHLAGHLPLGPQLEQLDRGFWETYRRGESGLPAHPEVPD
Quantity 100 μg
Regulatory Status RUO
Research Discipline Breast Cancer, Cancer, Protein Kinase
Primary or Secondary Primary
Gene ID (Entrez) 3984
Target Species Human, Mouse, Rat
Content And Storage Aliquot and store at -20°C or -80°C. Avoid freeze-thaw cycles.
Form Ascites
Isotype IgG2a κ
Show More Show Less
Product Title
Select an issue

By clicking Submit, you acknowledge that you may be contacted by Fisher Scientific in regards to the feedback you have provided in this form. We will not share your information for any other purposes. All contact information provided shall also be maintained in accordance with our Privacy Policy.