missing translation for 'onlineSavingsMsg'
Learn More
Learn More
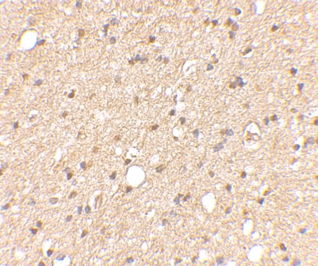
Invitrogen™ LGI2 Polyclonal Antibody

Description
A suggested positive control is mouse liver tissue lysate. PA5-20493 can be used with blocking peptide PEP-0613.
The leucine-rich, glioma inactivated gene 2 (LGI2) is a member of the LGI family in which LGI1 is the exemplar. The LGI family consists of four of highly related proteins containing leucine-rich repeats (LRRs) which are highly similar to other transmembrane signaling molecules and receptors. LGI1 has been identified as a candidate tumor suppressor gene for glioma and plays a role in autodominant lateral temporal epilepsy (ADTLE), an epileptic syndrome characterized by focal seizures with predominant auditory symptoms. Despite its high homology with LGI1 and similar pattern of expression, mutations in LGI2 have not been found to be associated with ADTLE.
Specifications
Specifications
| Antigen | LGI2 |
| Applications | Immunohistochemistry, Western Blot, Immunocytochemistry |
| Classification | Polyclonal |
| Concentration | 1 mg/mL |
| Conjugate | Unconjugated |
| Formulation | PBS with 0.02% sodium azide |
| Gene | Lgi2 |
| Gene Accession No. | Q8K4Z0, Q8N0V4 |
| Gene Alias | Kiaa1916; leucine rich repeat LGI family member 2; leucine-rich glioma-inactivated protein 2; Leucine-rich repeat LGI family member 2; leucine-rich repeat LGI family, member 2; leucine-rich, glioma inactivated 2; LGI1-like protein 2; Lgi2; LGIL2; mKIAA1916 |
| Gene Symbols | Lgi2 |
| Show More |
Product Title
By clicking Submit, you acknowledge that you may be contacted by Fisher Scientific in regards to the feedback you have provided in this form. We will not share your information for any other purposes. All contact information provided shall also be maintained in accordance with our Privacy Policy.
Spot an opportunity for improvement?