missing translation for 'onlineSavingsMsg'
Learn More
Learn More
Invitrogen™ LBP Polyclonal Antibody

Rabbit Polyclonal Antibody
Brand: Invitrogen™ PA579586
This item is not returnable.
View return policy
Description
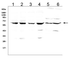
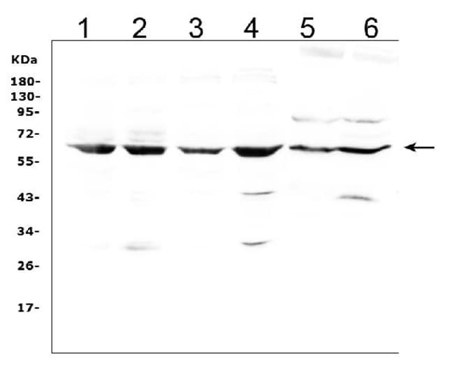
Reconstitute with 0.2 mL of distilled water to yield a concentration of 500 μg/mL. Positive Control - WB: human Hela whole cell, human Jurkat whole cell, human A549 whole cell, human Raji whole cell, rat liver tissue, mouse liver tissue.
The LBP protein is involved in the acute-phase immunologic response to gram-negative bacterial infections. Gram-negative bacteria contain a glycolipid, lipopolysaccharide (LPS), on their outer cell wall. Together with bactericidal permeability-increasing protein (BPI), the encoded protein binds LPS and interacts with the CD14 receptor, probably playing a role in regulating LPS-dependent monocyte responses. This protein is part of a family of structurally and functionally related proteins, including BPI, plasma cholesteryl ester transfer protein (CETP), and phospholipid transfer protein (PLTP). Finally, this gene is found on chromosome 20, immediately downstream of the BPI gene.
Specifications
| LBP | |
| Polyclonal | |
| Unconjugated | |
| LBP | |
| acute phase protein; binds bacterial LPS; BPI fold containing family D, member 2; Bpifd2; hypothetical protein LOC512242; LBP; lipopolysaccharide binding protein; lipopolysaccharide-binding protein; lipopolysaccharide-binding protein LPSBP; LPS-binding protein; LPSBP; Ly88 | |
| Rabbit | |
| Antigen affinity chromatography | |
| RUO | |
| 16803, 29469, 3929 | |
| -20°C | |
| Lyophilized |
| ELISA, Western Blot | |
| 500 μg/mL | |
| PBS with 4mg trehalose and 0.05mg sodium azide | |
| P18428, Q61805, Q63313 | |
| LBP | |
| E. coli-derived mouse LBP recombinant protein (Position: V26-R257). | |
| 100 μg | |
| Primary | |
| Human, Mouse, Rat | |
| Antibody | |
| IgG |
Product Content Correction
Your input is important to us. Please complete this form to provide feedback related to the content on this product.
Product Title
Spot an opportunity for improvement?Share a Content Correction