missing translation for 'onlineSavingsMsg'
Learn More
Learn More
Invitrogen™ Lass5 Polyclonal Antibody

Rabbit Polyclonal Antibody
Brand: Invitrogen™ PA520647
This item is not returnable.
View return policy
Description
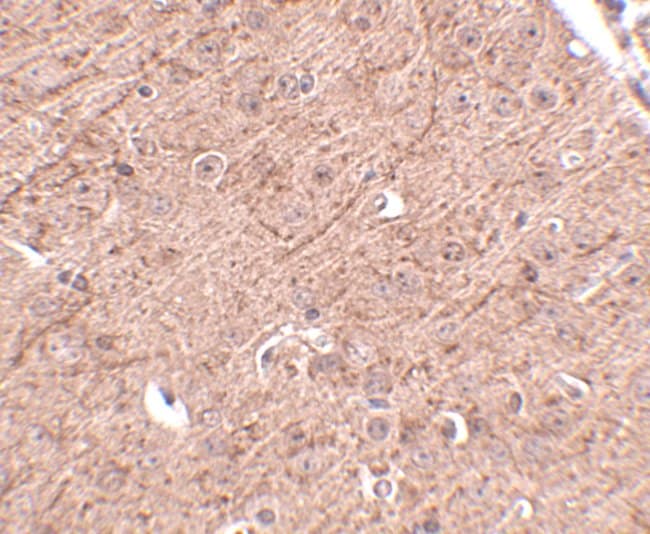
A suggested positive control is SK-N-SH cell lysate. PA5-20647 can be used with blocking peptide PEP-0767.
The LASS (longevity assurance homolog) family members represent a subgroup of the homeobox gene family and are highly conserved from yeasts to mammals. Six members of this family of proteins have been characterized (LASS1-6) and all are involved in ceramide synthesis during cell growth regulation and cancer differentiation. LASS5, also called Trh4, is a 392 amino acid endoplasmic reticulum, multi-pass membrane protein. Functioning as a dihydro-ceramide synthase, LASS5 is involved in the production of sphingolipids containing mainly one fatty acid donor (N-linked palmitoyl-ceramide) in a fumonisin B1-independent manner. It uses palmitoyl-CoA as an acyl donor and is involved in the synthesis of C14, C16 and C18-ceramide. LASS5 is the most abundantly expressed and predominant ceramide synthase isoform in lung epithelia. Recent studies show that LASS5 partially correct growth and apoptosis.
Specifications
| Lass5 | |
| Polyclonal | |
| Unconjugated | |
| CERS5 | |
| 2310081H14Rik; AU045339; AW544927; Ceramide synthase 5; CerS5; LAG1 homolog, ceramide synthase 5; LAG1 longevity assurance homolog 5; LASS5; longevity assurance homolog 5; Sphingosine N-acyltransferase CERS5; TRAM homolog 4; translocating chain-associating membrane protein homolog 4; Trh4 | |
| Rabbit | |
| Antigen affinity chromatography | |
| RUO | |
| 366984, 71949, 91012 | |
| Maintain refrigerated at 2-8°C for up to 3 months. For long term storage store at -20°C | |
| Liquid |
| Immunohistochemistry, Western Blot | |
| 1 mg/mL | |
| PBS with 0.02% sodium azide | |
| Q8N5B7, Q9D6K9 | |
| CERS5 | |
| A 14 amino acid peptide near the amino terminus of the human LASS5. | |
| 100 μg | |
| Primary | |
| Human, Mouse, Rat | |
| Antibody | |
| IgG |
Product Content Correction
Your input is important to us. Please complete this form to provide feedback related to the content on this product.
Product Title
Spot an opportunity for improvement?Share a Content Correction