Learn More
Invitrogen™ LAMP1 Recombinant Rabbit Monoclonal Antibody (107)

Rabbit Recombinant Monoclonal Antibody
Brand: Invitrogen™ MA529385
Description
This product is preservative free. It is recommended to add sodium azide to avoid contamination (final concentration 0.05%-0.1%). Recombinant rabbit monoclonal antibodies are produced using in vitro expression systems. The expression systems are developed by cloning in the specific antibody DNA sequences from immunoreactive rabbits. Then, individual clones are screened to select the best candidates for production. The advantages of using recombinant rabbit monoclonal antibodies include: better specificity and sensitivity, lot-to-lot consistency, animal origin-free formulations, and broader immunoreactivity to diverse targets due to larger rabbit immune repertoire. This antibody has specificity for Human LAMP1/CD107a.
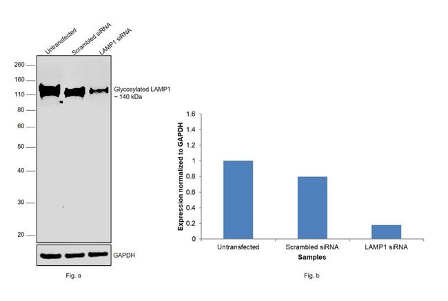
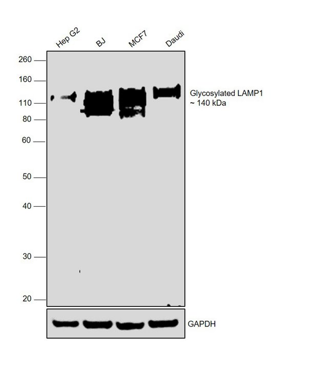
LAMP1 (CD107a, lysosome-associated membrane protein-1) together with LAMP-2, is a major constituent of lysosomal membrane, 1-2% of total CD107a is found also on the plasma membrane. LAMP1 is a heavily glycosylated membrane protein which contains a putative signal peptide, 18 sites for N-linked glycosylation, a single membrane-spanning segment and a short (11 amino acid) cytosolic tail. The LAMP proteins are involved in lysosome biogenesis and are required for fusion of lysosomes with phagosomes. LAMP1 is a type 1 integral membrane protein that is transported from trans-Golgi network to endosomes and then lysosomes. Upon cell activation, LAMP1 transfer to the plasma membrane is dependent on a carboyxl-terminal tyrosine based motif (YXXI). Perturbation in the spacing between the tyrosine based motif relative to the membrane abolishes lysosome localization of LAMP1, and this mutant protein then cycles between the plasma membrane and the endosome. Cell surface LAMP1 (and LAMP2) have been shown to promote adhesion of human peripheral blood mononuclear cells (PBMC) to vascular endothelium, therefore, they are possibly involved in the adhesion of PBMC to the site of inflammation. Increased LAMP1 immunoreactivity is observed in neurons and glial cells surrounding senile plaques in Alzheimer's Disease (AD) cases, and is localized in medullary epithelial cells, single macrophages and lymphocytes in acute thymic involution. LAMP1 is a good marker of mast cell activation.
Specifications
| LAMP1 | |
| Recombinant Monoclonal | |
| 1 mg/mL | |
| PBS with no preservative | |
| P11279, P14562 | |
| LAMP1 | |
| Recombinant Human LAMP1 protein (Met1-Met382). | |
| 100 μL | |
| Primary | |
| Human, Rat | |
| Antibody | |
| IgG |
| ELISA, Flow Cytometry, Immunohistochemistry (Paraffin), Immunoprecipitation, Western Blot, Immunocytochemistry | |
| 107 | |
| Unconjugated | |
| LAMP1 | |
| 120 kDa lysosomal membrane glycoprotein; AI196048; CD107 antigen-like family member A; CD107a; I79_011073; Lamp I; LAMP1; LAMP-1; LAMPA; LGP120; LGP-120; LGPA; LGP-A; lysosomal associated membrane protein 1; Lysosomal associated membrane protein 1 (120 kDa); lysosomal membrane glycoprotein 1; lysosomal membrane glycoprotein A; lysosomal-associated membrane protein 1; lysosome-associated membrane glycoprotein 1; LYSOSOME-ASSOCIATED MEMBRANE GLYCOPROTEIN 1 PRECURSOR (LAMP-1) (LGP-A) (LGP-120) (CD107A) (P2B); lysosome-associated membrane protein 1; P2B | |
| Rabbit | |
| Protein A | |
| RUO | |
| 25328, 3916 | |
| Store at 4°C short term. For long term storage, store at -20°C, avoiding freeze/thaw cycles. | |
| Liquid |
Your input is important to us. Please complete this form to provide feedback related to the content on this product.