missing translation for 'onlineSavingsMsg'
Learn More
Learn More
Invitrogen™ Laminin gamma-1 Polyclonal Antibody

Rabbit Polyclonal Antibody
Brand: Invitrogen™ PA581992
This item is not returnable.
View return policy
Description
Immunogen sequence: STKAEAERTF AEVTDLDNEV NNMLKQLQEA EKELKRKQDD ADQDMMMAGM ASQAAQEAEI NARKAKNSVT SLLSIINDLL EQLGQLDTVD LNKLNEIEGT LNKAKDEMKV S Highest antigen sequence indentity to the following orthologs: Rat - 89%, Mouse - 86%.
Laminins are essential and abundant structural non-collagenous glycoproteins localizing to basement membranes. Basement membranes (cell-associated extracellular matrices (ECMs)) are polymers of Laminins with stabilizing Type IV Collagen networks, Nidogen and several proteoglycans. Basement membranes are found under epithelial layers, around the endothelium of blood vessels, and surrounding muscle, peripheral nerve and fat cells. Formation of basement membranes influences cell proliferation, phenotype, migration, gene expression and tissue architecture. Each Laminin is a heterotrimer of alpha, beta and gamma chain subunits that undergoes cell-secretion and incorporation into the ECM. Laminins can self-assemble, bind to other matrix macromolecules and have unique and shared cell interactions mediated by Integrins, dystroglycan and cognate Laminin receptors. The human Laminin gamma-1 gene maps to chromosome 1q31 and is ubiquitously expressed in tissues that produce basement membranes.
Specifications
| Laminin gamma-1 | |
| Polyclonal | |
| Unconjugated | |
| LAMC1 | |
| AA408497; B2e; basement membrane protein; LAMA; LAMA1; Lama-1; LAMB2; LAMC1; Laminin A chain; laminin B2 chain; laminin gamma 1 chain; laminin S; laminin subunit alpha 1; laminin subunit alpha-1; laminin subunit gamma 1; laminin subunit gamma-1; laminin, alpha 1; laminin, beta 2; laminin, gamma 1; laminin, gamma 1 (formerly LAMB2); laminin-1; laminin-1 subunit alpha; Laminin-1 subunit gamma; laminin-10 subunit gamma; Laminin-11 subunit gamma; laminin-2 subunit gamma; Laminin-3 subunit alpha; laminin-3 subunit gamma; Laminin-4 subunit gamma; laminin-6 subunit gamma; Laminin-7 subunit gamma; laminin-8 subunit gamma; Laminin-9 subunit gamma; PTBHS; S-LAM alpha; S-LAM gamma; S-LAM-alpha; S-laminin subunit alpha; S-laminin subunit gamma | |
| Rabbit | |
| Antigen affinity chromatography | |
| RUO | |
| 3915 | |
| Store at 4°C short term. For long term storage, store at -20°C, avoiding freeze/thaw cycles. | |
| Liquid |
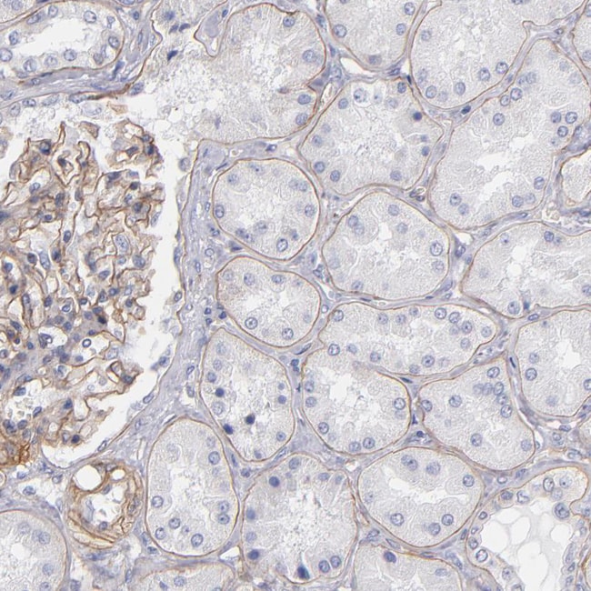
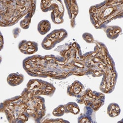
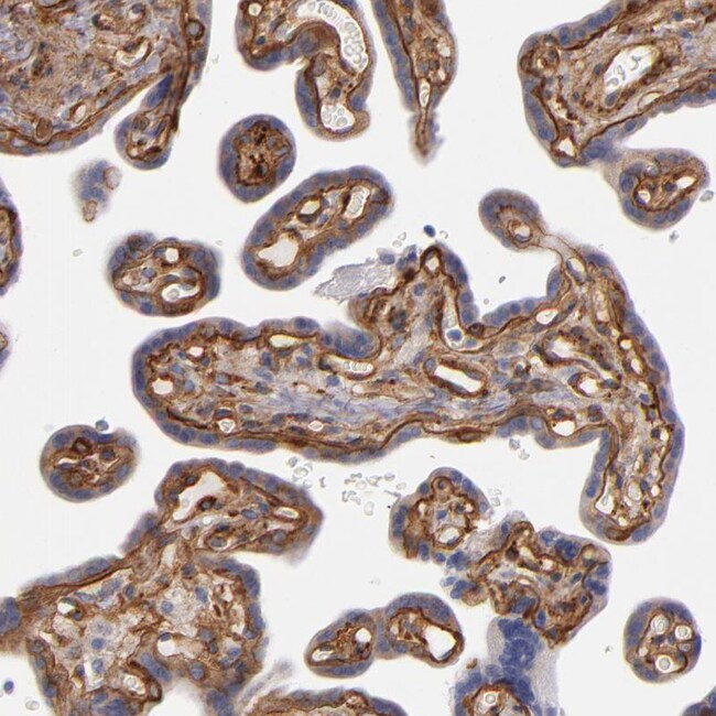
| Immunohistochemistry (Paraffin), Western Blot | |
| 0.1 mg/mL | |
| PBS with 40% glycerol and 0.02% sodium azide; pH 7.2 | |
| P11047 | |
| LAMC1 | |
| Recombinant protein corresponding to Human LAMC1. Recombinant protein control fragment (Product #RP-101884). | |
| 100 μL | |
| Primary | |
| Human | |
| Antibody | |
| IgG |
Product Content Correction
Your input is important to us. Please complete this form to provide feedback related to the content on this product.
Product Title
Spot an opportunity for improvement?Share a Content Correction