missing translation for 'onlineSavingsMsg'
Learn More

Laminin alpha-4 Polyclonal Antibody, Invitrogen™

Rabbit Polyclonal Antibody

Brand:  Invitrogen PA538938

Product Code. 15525851

This item is currently unavailable or has been discontinued.
View the product page for possible alternatives.
View alternative products »

This item is not returnable. View return policy

Description

Description

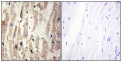
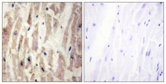
Laminins are essential and abundant structural non-collagenous glycoproteins localizing to basement membranes. Basement membranes (cellassociated extracellular matrices (ECMs)) are polymers of laminins with stabilizing type IV collagen networks, nidogen, and several proteoglycans.Basement membranes are found under epithelial layers, around the endothelium of blood vessels, and surrounding muscle, peripheral nerve, and fat cells. Formation of basement membranes influences cell proliferation, phenotype, migration, gene expression, and tissue architecture. Each laminin is a heterotrimer of alpha, beta, and gamma chain subunits that undergoes cell-secretion and incorporation into the ECM. Laminins can self-assemble, bind to other matrix macromolecules, and have unique and shared cell interactions mediated by integrins, dystroglycan, and cognate laminin receptors. The human laminin alpha-4 gene maps to chromosome 6q21 and is expressed in adult heart, lung, ovary, small and large intestines, liver, and placenta.
TRUSTED_SUSTAINABILITY
Specifications

Specifications

Laminin alpha-4
Polyclonal
Unconjugated
LAMA4
LAMA4
Rabbit
Antigen affinity chromatography
RUO
16775, 3910
-20°C
Liquid
Immunocytochemistry, Immunofluorescence, Immunohistochemistry (Paraffin), Western Blot
1 mg/mL
Dulbecco′s PBS with 150mM NaCl, 50% glycerol and 0.02% sodium azide; pH 7.4
Q16363, P97927
LAMA4
A synthetic peptide derived from the internal region of human LAMA4
100 μg
Primary
Human, Mouse
Antibody
IgG
Product Suggestions

Product Suggestions

Videos
SDS
Documents

Documents

Certificates
Promotions

Promotions

Product Content Correction

Your input is important to us. Please complete this form to provide feedback related to the content on this product.

Product Title

By clicking Submit, you acknowledge that you may be contacted by Fisher Scientific in regards to the feedback you have provided in this form. We will not share your information for any other purposes. All contact information provided shall also be maintained in accordance with our Privacy Policy.

Thank You! Your feedback has been submitted. Fisher Scientific is always working to improve our content for you. We appreciate your feedback.