missing translation for 'onlineSavingsMsg'
Learn More
Learn More
Description
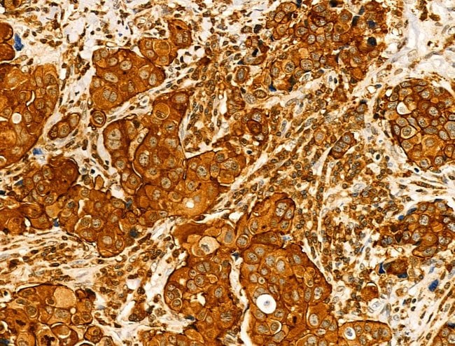
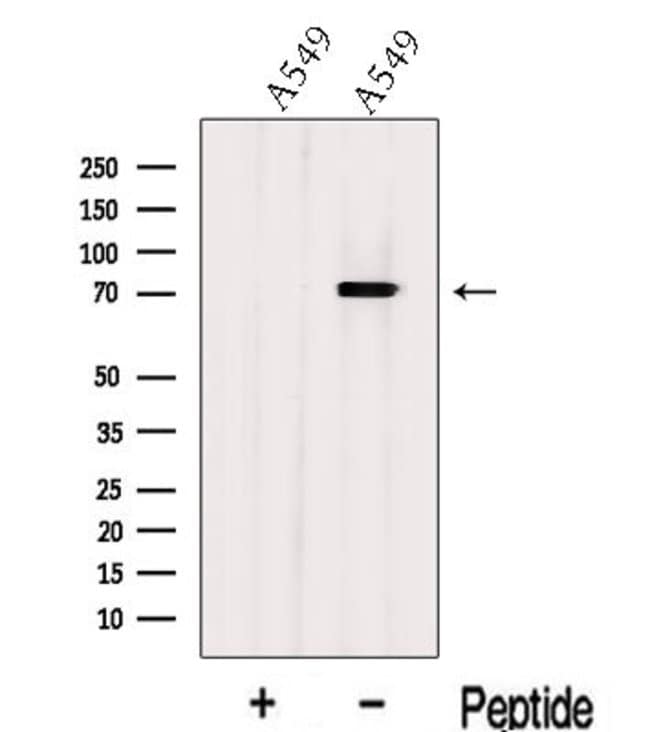
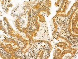
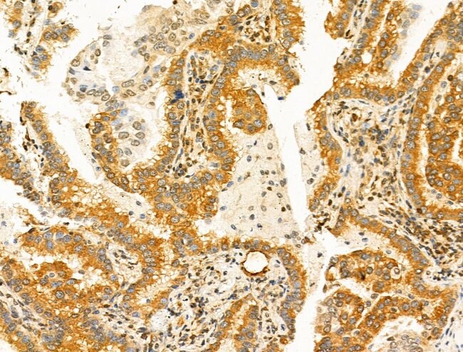
Antibody detects endogenous levels of total Kv1.3/KCNA3.
In neurons voltage-dependent potassium channels are key determinants of the resting membrane potential and of membrane excitability, conditioning the frequency, and shape of action potential.
Specifications
Specifications
| Antigen | KV1.3 (KCNA3) |
| Applications | Immunohistochemistry (Paraffin), Western Blot |
| Classification | Polyclonal |
| Concentration | 1 mg/mL |
| Conjugate | Unconjugated |
| Formulation | PBS with 50% glycerol and 0.02% sodium azide |
| Gene | KCNA3 |
| Gene Accession No. | P16390, P22001 |
| Gene Alias | HGK5; HLK3; HPCN3; HUK3; HUKIII; Kca1-3; Kcna3; Kv1.3; KV3; MK3; Mk-3; PCN3; potassium channel 3; potassium channel, voltage gated shaker related subfamily A, member 3; potassium voltage gated channel, shaker related subfamily, member 3; potassium voltage-gated channel subfamily A member 3; potassium voltage-gated channel, shaker-related subfamily, member 3; RCK3; RGK5; type n potassium channel; voltage-gated K(+) channel HuKIII; voltage-gated potassium channel protein Kv1.3; Voltage-gated potassium channel protein Kv1.3 (RGK5) (RCK3) (KV3); voltage-gated potassium channel subunit Kv1.3; Voltage-gated potassium channel subunit Kv3 |
| Gene Symbols | KCNA3 |
| Show More |
Product Title
By clicking Submit, you acknowledge that you may be contacted by Fisher Scientific in regards to the feedback you have provided in this form. We will not share your information for any other purposes. All contact information provided shall also be maintained in accordance with our Privacy Policy.
Spot an opportunity for improvement?
