missing translation for 'onlineSavingsMsg'
Learn More
Learn More
Invitrogen™ KPNA2 Monoclonal Antibody (C19), Invitrogen™

Mouse Monoclonal Antibody
Brand: Invitrogen™ MA550919
This item is not returnable.
View return policy
Description
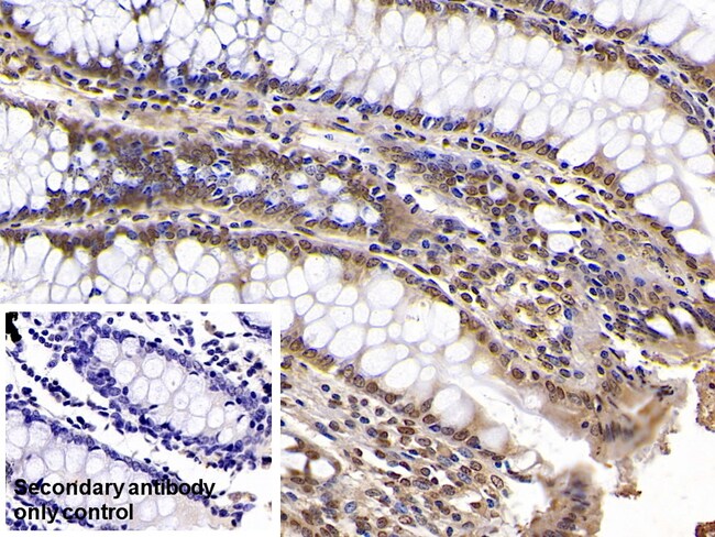
The import of proteins into the nucleus is a process that involves at least 2 steps. The first is an energy-independent docking of the protein to the nuclear envelope and the second is an energy-dependent translocation through the nuclear pore complex. Imported proteins require a nuclear localization sequence which generally consists of a short region of basic amino acids or 2 such regions spaced about 10 amino acids apart. Proteins involved in the first step of nuclear import have been identified in different systems. These include the Xenopus protein importin and its yeast homolog, SRP1, which bind to the NLS. KPNA2 protein interacts with the NLSs of DNA helicase Q1 and SV40 T antigen and may be involved in the nuclear transport of proteins. KPNA2 also may play a role in VJ recombination.
Specifications
| KPNA2 | |
| Monoclonal | |
| 1 mg/mL | |
| PBS with 50% glycerol and 0.05% Proclin 300; pH 7.4 | |
| P52292 | |
| KPNA2 | |
| Recombinant Human KPNa2 protein, Ala157-Gln412 (Accession #P52292). | |
| 200 μL | |
| Primary | |
| Human, Pig | |
| Antibody | |
| IgG2b κ |
| Immunohistochemistry (Paraffin), Western Blot, Immunocytochemistry | |
| C19 | |
| Unconjugated | |
| KPNA2 | |
| 2410044B12Rik; IMA2; importin; importin alpha 2; importin alpha P1; Importin subunit alpha-1; importin subunit alpha-2; importin-alpha-P1; IPOA 1; IPOA1; IPOA1 QIP2; karyopherin (importin) alpha 2; Karyopherin A2; karyopherin alpha 2; karyopherin alpha 2 (RAG cohort 1, importin alpha 1); karyopherin subunit alpha 2; karyopherin subunit alpha-2; Kpna2; m-importin-alpha-P1; nuclear import protein; pendulin; Pore targeting complex 58 kDa subunit; PTAC58; QIP2; RAG cohort 1; RAG cohort protein 1; RCH 1; RCH1; SRP 1; SRP1; SRP1 alpha; SRP1alpha; SRP1-alpha | |
| Mouse | |
| Protein A/G | |
| RUO | |
| 3838, 397218 | |
| Store at 4°C short term. For long term storage, store at -20°C, avoiding freeze/thaw cycles. | |
| Liquid |
Product Content Correction
Your input is important to us. Please complete this form to provide feedback related to the content on this product.
Product Title
Spot an opportunity for improvement?Share a Content Correction