missing translation for 'onlineSavingsMsg'
Learn More
Learn More
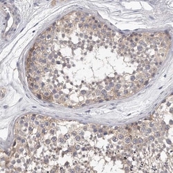
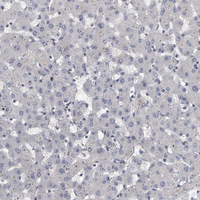
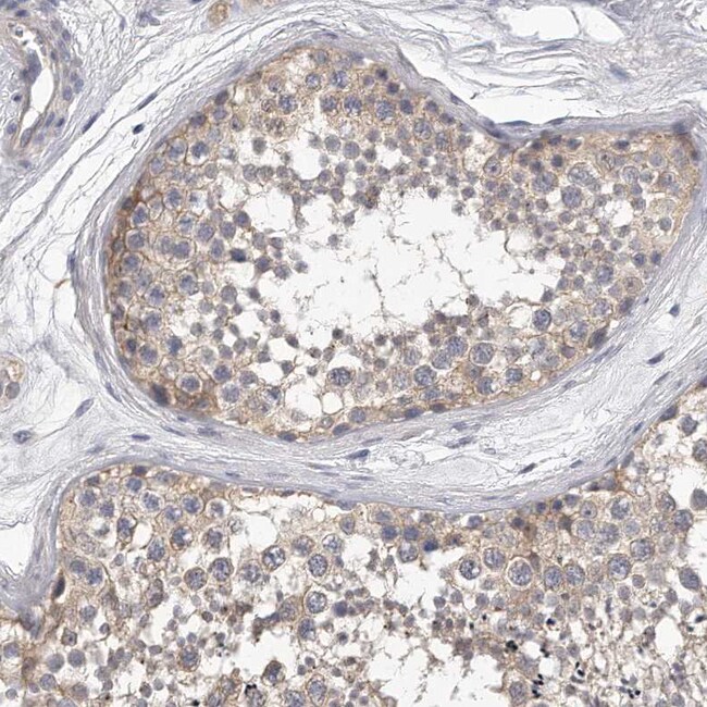
Invitrogen™ KLHL7 Polyclonal Antibody

Rabbit Polyclonal Antibody
Brand: Invitrogen™ PA556167
This item is not returnable.
View return policy
Description
Immunogen sequence: TWTELCPMIE ARKNHGLVFV KDKIFAVGGQ NGLGGLDNVE YYDIKLNEWK MVSPMPWKGV TVKCAAVGSI VYVLAGFQGV GRLGHILEYN TETDKWVANS KVRAFPVTSC LICVVDTCGA NE Highest antigen sequence identity to the following orthologs: Mouse - 95%, Rat - 96%.
Defects in KLHL7 are the cause of retinitis pigmentosa type 42 (RP42). The specific function of this protein remains unknown.
Specifications
| KLHL7 | |
| Polyclonal | |
| Unconjugated | |
| KLHL7 | |
| 2700038B03Rik; BTB/POZ domain containing protein; D5Ertd363e; kelch like family member 7; kelch/BTB; kelch-like 6; kelch-like 7; kelch-like family member 7; kelch-like protein 7; KLHL6; Klhl7; LOW QUALITY PROTEIN: kelch-like protein 7; SBBI26 | |
| Rabbit | |
| Antigen affinity chromatography | |
| RUO | |
| 362303, 55975 | |
| Store at 4°C short term. For long term storage, store at -20°C, avoiding freeze/thaw cycles. | |
| Liquid |
| Immunohistochemistry (Paraffin), Western Blot, Immunocytochemistry | |
| 0.1 mg/mL | |
| PBS with 40% glycerol and 0.02% sodium azide; pH 7.2 | |
| Q5XHZ6, Q8IXQ5 | |
| KLHL7 | |
| Recombinant protein corresponding to Human KLHL7. Recombinant protein control fragment (Product #RP-92692). | |
| 100 μL | |
| Primary | |
| Human, Rat | |
| Antibody | |
| IgG |
Product Content Correction
Your input is important to us. Please complete this form to provide feedback related to the content on this product.
Product Title
Spot an opportunity for improvement?Share a Content Correction