missing translation for 'onlineSavingsMsg'
Learn More
Learn More
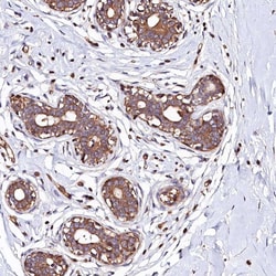
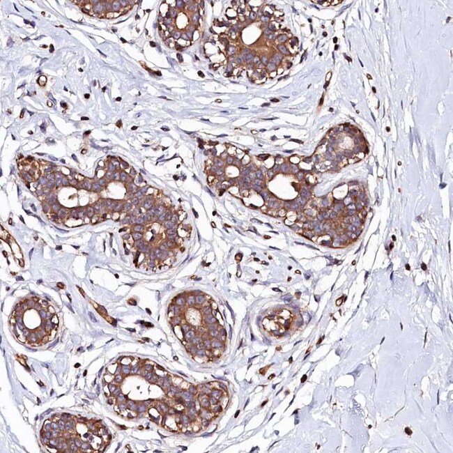
Invitrogen™ KLHDC4 Polyclonal Antibody

Rabbit Polyclonal Antibody
Brand: Invitrogen™ PA559669
This item is not returnable.
View return policy
Description
Immunogen sequence: EEDLEALIAH FQTLDAKRTQ TVELPCPPPS PRLNASLSVH PEKDELILFG GEYFNGQKTF LYNELYVYNT R Highest antigen sequence identity to the following orthologs: Mouse - 87%, Rat - 26%.
Kelch proteins (and Kelch-like proteins) are proteins that have repeated kelch domains. Most Kelch proteins also have a BTB (defn) domain. Each kelch domain forms the blade of a propellar structure, with the repeated kelch domains forming a Beta-propellar. The structure of this Beta-propellar is known but the function is not characterised. KLHDC4 contains six Kelch repeats. There are three named isoforms.
Specifications
| KLHDC4 | |
| Polyclonal | |
| Unconjugated | |
| KLHDC4 | |
| AA408426; AV352552; BC012312; G430025P05Rik; kelch domain containing 4; kelch domain-containing protein 4; KLHDC4; RGD1561676; similar to Kelch domain containing 4 | |
| Rabbit | |
| Antigen affinity chromatography | |
| RUO | |
| 234825, 307917, 54758 | |
| Store at 4°C short term. For long term storage, store at -20°C, avoiding freeze/thaw cycles. | |
| Liquid |
| Immunohistochemistry (Paraffin), Western Blot, Immunocytochemistry | |
| 0.1 mg/mL | |
| PBS with 40% glycerol and 0.02% sodium azide; pH 7.2 | |
| Q8TBB5, Q921I2 | |
| KLHDC4 | |
| Recombinant protein corresponding to Human KLHDC4. Recombinant protein control fragment (Product #RP-98555). | |
| 100 μL | |
| Primary | |
| Human, Mouse, Rat | |
| Antibody | |
| IgG |
Product Content Correction
Your input is important to us. Please complete this form to provide feedback related to the content on this product.
Product Title
Spot an opportunity for improvement?Share a Content Correction