Learn More
Invitrogen™ KLHDC2 Polyclonal Antibody

Rabbit Polyclonal Antibody
Brand: Invitrogen™ PA551428
Description
Immunogen sequence: MADGNEDLRA DDLPGPAFES YESMELACPA ERSGHVAVSD GRHMFVWGGY KSNQVRGLYD FYLPREELWI YNMETGRWKK INTEGDVPPS MSGSCAVCVD RVLYLFGGHH SRGNTNKFYM LDSRSTDRVL QWERIDCQGI PPSSKDKL Highest antigen sequence identity to the following orthologs: Mouse - 96%, Rat - 96%.
Represses CREB3-mediated transcription by interfering with CREB3-DNA binding. [UniProt].
Specifications
| KLHDC2 | |
| Polyclonal | |
| Unconjugated | |
| Klhdc2 | |
| 2310022K15Rik; D12Ertd522e; endothelial differentiation inhibitory protein TNG; HCA33; HCLP1; HCLP-1; Hepatocellular carcinoma-associated antigen 33; host cell factor homolog LCP; Host cell factor-like protein 1; kelch domain containing 2; kelch domain-containing protein 2; KLHDC2; LCP; similar to kelch domain containing 2 | |
| Rabbit | |
| Antigen affinity chromatography | |
| RUO | |
| 23588 | |
| Store at 4°C short term. For long term storage, store at -20°C, avoiding freeze/thaw cycles. | |
| Liquid |
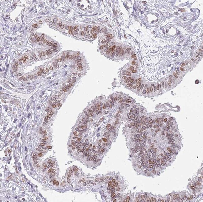
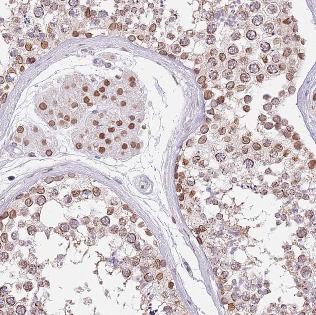
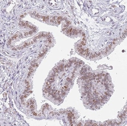
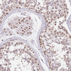
| Immunohistochemistry (Paraffin), Immunohistochemistry | |
| 0.10 mg/mL | |
| PBS with 40% glycerol and 0.02% sodium azide; pH 7.2 | |
| Q9Y2U9 | |
| Klhdc2 | |
| Recombinant protein corresponding to Human KLHDC2. Recombinant protein control fragment (Product #RP-88886). | |
| 100 μL | |
| Primary | |
| Human | |
| Antibody | |
| IgG |
Your input is important to us. Please complete this form to provide feedback related to the content on this product.