missing translation for 'onlineSavingsMsg'
Learn More

Invitrogen™ KLC1 Recombinant Rabbit Monoclonal Antibody (JE54-47)
GREENER_CHOICE

Rabbit Recombinant Monoclonal Antibody

Brand:  Invitrogen™ MA536189

Product Code. 17129395

  • £434.00 / 100µL

Please to purchase this item. Need a web account? Register with us today!

This item is not returnable. View return policy

Description

Description

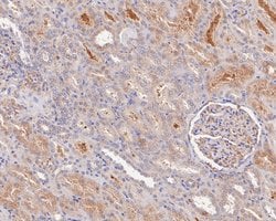
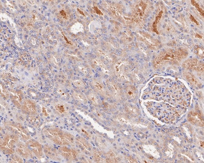
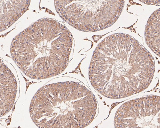
KLC1 Recombinant Monoclonal Antibody for Western Blot, ICC/IF, IHC (P), Flow

Conventional kinesin is a tetrameric molecule composed of two heavy chains and two light chains, and transports various cargos along microtubules toward their plus ends. The heavy chains provide the motor activity, while the light chains bind to various cargos. This gene encodes a member of the kinesin light chain family. It associates with kinesin heavy chain through an N-terminal domain, and six tetratricopeptide repeat (TPR) motifs are thought to be involved in binding of cargos such as vesicles, mitochondria, and the Golgi complex. Thus, kinesin light chains function as adapter molecules and not motors per se. Although previously named kinesin 2, this gene is not a member of the kinesin-2 / kinesin heavy chain subfamily of kinesin motor proteins. Extensive alternative splicing produces isoforms with different C-termini that are proposed to bind to different cargos; however, the full-length nature of some of these variants has not been determined.
TRUSTED_SUSTAINABILITY
Specifications

Specifications

KLC1
Recombinant Monoclonal
1 mg/mL
TBS with 0.05% BSA, 40% glycerol and 0.05% sodium azide; pH 7.4
O88447, P37285, Q07866
KLC1
Recombinant protein within Human KLC1 aa 461-573.
100 μL
Primary
Human, Mouse, Rat
Antibody
IgG
Flow Cytometry, Immunohistochemistry (Paraffin), Western Blot, Immunocytochemistry
JE54-47
Unconjugated
KLC1
AI874768; kinesin 2; kinesin 2 60/70kDa; kinesin light chain 1; Kinesin2; Klc; KLC 1; Klc1; KNS 2; KNS 2A; Kns2; KNS2A; medulloblastoma antigen MU-MB-2.50; MGC15245
Rabbit
Protein A
RUO
16593, 171041, 3831
Store at 4°C short term. For long term storage, store at -20°C, avoiding freeze/thaw cycles.
Liquid
Product Suggestions

Product Suggestions

Videos
SDS
Documents

Documents

Certificates
Promotions

Promotions

Product Content Correction

Your input is important to us. Please complete this form to provide feedback related to the content on this product.

Product Title

By clicking Submit, you acknowledge that you may be contacted by Fisher Scientific in regards to the feedback you have provided in this form. We will not share your information for any other purposes. All contact information provided shall also be maintained in accordance with our Privacy Policy.

Thank You! Your feedback has been submitted. Fisher Scientific is always working to improve our content for you. We appreciate your feedback.