missing translation for 'onlineSavingsMsg'
Learn More

Invitrogen™ Kir2.3 (KCNJ4) Polyclonal Antibody

Rabbit Polyclonal Antibody

Brand:  Invitrogen™ PA597888

Product Code. 16580712

  • £424.00 / 100µL

Please to purchase this item. Need a web account? Register with us today!

This item is not returnable. View return policy

Description

Description

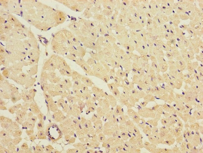
Kir2.3 (KCNJ4) Polyclonal Antibody for Western Blot, IHC (P), ELISA

Several different potassium channels are known to be involved with electrical signaling in the nervous system. One class is activated by depolarization whereas a second class is not. The latter are referred to as inwardly rectifying K+ channels, and they have a greater tendency to allow potassium to flow into the cell rather than out of it. This asymmetry in potassium ion conductance plays a key role in the excitability of muscle cells and neurons. The protein encoded by this gene is an integral membrane protein and member of the inward rectifier potassium channel family. The encoded protein has a small unitary conductance compared to other members of this protein family. Two transcript variants encoding the same protein have been found for this gene.
TRUSTED_SUSTAINABILITY
Specifications

Specifications

Kir2.3 (KCNJ4)
Polyclonal
Unconjugated
KCNJ4
BIR11; Brain inwardly rectifying K(+) channel 2; Hippocampal inward rectifier; hippocampal inward rectifier potassium channel; HIR; HIRK2; HRK1; Inward rectifier K(+) channel Kir2.3; inward rectifier potassium channel 4; IRK3; IRK-3; Kcnf2; KCNJ4; Kir 2.3; Kir2.3; MB-IRK3; Potassium channel, inwardly rectifying subfamily J member 4; potassium channel, inwardly rectifying subfamily J, member 4; potassium inwardly-rectifying channel, subfamily J, member 4; potassium voltage-gated channel subfamily J member 4
Rabbit
Antigen affinity chromatography
RUO
3761
-20°C or -80°C if preferred
Liquid
ELISA, Immunohistochemistry (Paraffin), Western Blot
1 mg/mL
PBS with 50% glycerol and 0.02% sodium azide; pH 7.3
P48050
KCNJ4
Recombinant Human Inward rectifier potassium channel 4 protein (316-445AA).
100 μL
Primary
Human
Antibody
IgG
Product Suggestions

Product Suggestions

Videos
SDS
Documents

Documents

Certificates
Promotions

Promotions

Product Content Correction

Your input is important to us. Please complete this form to provide feedback related to the content on this product.

Product Title

By clicking Submit, you acknowledge that you may be contacted by Fisher Scientific in regards to the feedback you have provided in this form. We will not share your information for any other purposes. All contact information provided shall also be maintained in accordance with our Privacy Policy.

Thank You! Your feedback has been submitted. Fisher Scientific is always working to improve our content for you. We appreciate your feedback.