missing translation for 'onlineSavingsMsg'
Learn More
Learn More
Invitrogen™ KIF4A Polyclonal Antibody

Rabbit Polyclonal Antibody
Brand: Invitrogen™ PA583243
This item is not returnable.
View return policy
Description
Immunogen sequence: LTLLQVASRQ KHLPKDTLLS PDSSFEYVPP KPKPSRVKEK FLEQSMDIED LKYCSEHSVN EHEDGDGDDD EGDDEEWKPT KL Highest antigen sequence indentity to the following orthologs: Rat - 63%, Mouse - 64%.
This gene encodes a member of the kinesin 4 or subfamily of kinesin related proteins. This subfamily is also referred to as the chromokinesins. The encoded protein is an ATP dependent microtubule-based motor protein that is involved in the intracellular transport of membranous organelles. This protein also associates with condensed chromosome arms and may be involved maintaining chromosome integrity during mitosis. This protein may also be involved in the organization of the central spindle prior to cytokinesis. A pseudogene of this gene is found on chromosome X.
Specifications
| KIF4A | |
| Polyclonal | |
| Unconjugated | |
| Kif4a | |
| AI323435; Chromokinesin; chromokinesin-A; Chromosome-associated kinesin KIF4; chromosome-associated kinesin KIF4A; D330050K22Rik; FLJ12530; FLJ12655; FLJ14204; FLJ20631; HSA271784; KIF4; KIF4A; KIF4G1; KIF4-G1; kinesin family member 4; kinesin family member 4A; kinesin heavy chain member 4; Kns4; MRX100; N-5 kinesin | |
| Rabbit | |
| Antigen affinity chromatography | |
| RUO | |
| 24137 | |
| Store at 4°C short term. For long term storage, store at -20°C, avoiding freeze/thaw cycles. | |
| Liquid |
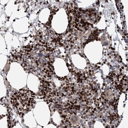
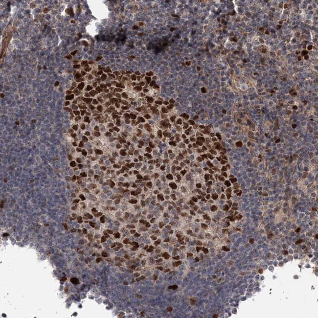
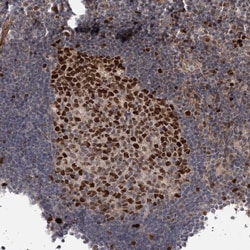
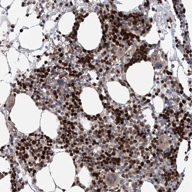
| Immunohistochemistry (Paraffin), Western Blot, Immunocytochemistry | |
| 0.2 mg/mL | |
| PBS with 40% glycerol and 0.02% sodium azide; pH 7.2 | |
| O95239 | |
| Kif4a | |
| Recombinant protein corresponding to Human KIF4A. Recombinant protein control fragment (Product #RP-95180). | |
| 100 μL | |
| Primary | |
| Human | |
| Antibody | |
| IgG |
Product Content Correction
Your input is important to us. Please complete this form to provide feedback related to the content on this product.
Product Title
Spot an opportunity for improvement?Share a Content Correction