missing translation for 'onlineSavingsMsg'
Learn More
Learn More
Invitrogen™ KIAA0753 Polyclonal Antibody

Rabbit Polyclonal Antibody
Brand: Invitrogen™ PA554681
This item is not returnable.
View return policy
Description
Immunogen sequence: PCNGNSLDES VGTEEGSEKR EAPLLSLAED SQQKEGRAPL FVPPGMQHSI GDYCSRFEQY LRIISHEAVG SFNPWLIAES FSEELVDEAL GAVAAELQDM CEDYAEAVFT SE Highest antigen sequence identity to the following orthologs: Mouse - 81%, Rat - 82%.
Specifications
| KIAA0753 | |
| Polyclonal | |
| Unconjugated | |
| KIAA0753 | |
| KIAA0753; MNR; moonraker; OFD1- and FOPNL-interacting protein; OFIP; Protein moonraker | |
| Rabbit | |
| Antigen affinity chromatography | |
| RUO | |
| 9851 | |
| Store at 4°C short term. For long term storage, store at -20°C, avoiding freeze/thaw cycles. | |
| Liquid |
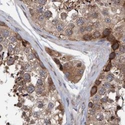
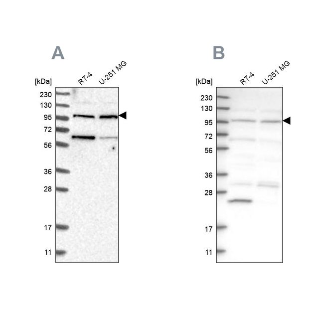
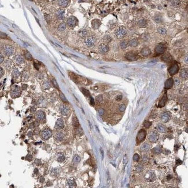
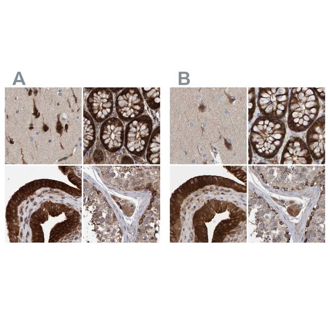
| Immunohistochemistry (Paraffin), Western Blot, Immunocytochemistry | |
| 0.1 mg/mL | |
| PBS with 40% glycerol and 0.02% sodium azide; pH 7.2 | |
| Q2KHM9 | |
| KIAA0753 | |
| Recombinant protein corresponding to Human KIAA0753. Recombinant protein control fragment (Product #RP-93557). | |
| 100 μL | |
| Primary | |
| Human | |
| Antibody | |
| IgG |
Product Content Correction
Your input is important to us. Please complete this form to provide feedback related to the content on this product.
Product Title
Spot an opportunity for improvement?Share a Content Correction