missing translation for 'onlineSavingsMsg'
Learn More

Invitrogen™ KDM1B Recombinant Rabbit Monoclonal Antibody (23GB6265)

Rabbit Recombinant Monoclonal Antibody

Brand:  Invitrogen™ MA557451

 View more versions of this product

Product Code. 30275667

  • £172.00 / 20µL

Please to purchase this item. Need a web account? Register with us today!

This item is not returnable. View return policy

Description

Description

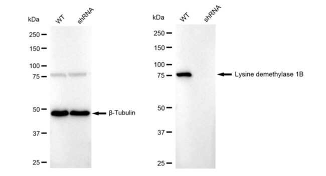
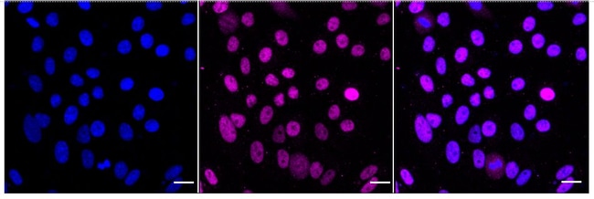
KDM1B Recombinant Monoclonal Antibody for Western Blot, ICC/IF, Flow

The KDM1B gene, also known as lysine demethylase 1B, or LSD2/AOF1, encodes a histone demethylase that specifically targets H3K4me1/2 marks, which are critical for regulating gene expression. KDM1B is an epigenetic modifier that plays a pivotal role in modulating chromatin structure and, consequently, gene transcription. Unlike its homolog KDM1A, KDM1B associates mainly with the gene bodies of actively transcribed genes rather than promoters, indicating its unique role in transcriptional regulation. KDM1B is implicated in various physiological processes and pathophysiological conditions, including tumor progression where it enhances somatic cell reprogramming and promotes the enrichment of tumor stem cells. Its demethylation activity against histones H3K4 and H3K9 underscores its influence on gene silencing and activation pathways, marking it as a significant target in cancer research and potential therapeutic interventions. Understanding the structural and functional nuances of KDM1B contributes to broader insights into epigenetic regulation mechanisms and their implications in disease states.
TRUSTED_SUSTAINABILITY
Specifications

Specifications

KDM1B
Recombinant Monoclonal
Unconjugated
KDM1B
4632428N09Rik; AI482520; amine oxidase (flavin containing) domain 1; amine oxidase, flavin containing 1; Aof1; bA204B7.3; C6orf193; dJ298J15.2; Flavin-containing amine oxidase domain-containing protein 1; KDM1B; LSD2; lysine (K)-specific demethylase 1B; lysine demethylase 1B; lysine-specific histone demethylase 1B; Lysine-specific histone demethylase 2
Rabbit
Affinity chromatography
RUO
221656, 306819
-20°C
Liquid
Flow Cytometry, Western Blot, Immunocytochemistry
23GB6265
PBS with 50% glycerol and 0.02% sodium azide; pH 7.4
Q8NB78
KDM1B
A synthesized peptide derived from human LSD2 / AOF1 (aa 75-136).
20 μL
Primary
Human, Rat
Antibody
IgG
Product Suggestions

Product Suggestions

Videos
SDS
Documents

Documents

Certificates
Promotions

Promotions

Product Content Correction

Your input is important to us. Please complete this form to provide feedback related to the content on this product.

Product Title

By clicking Submit, you acknowledge that you may be contacted by Fisher Scientific in regards to the feedback you have provided in this form. We will not share your information for any other purposes. All contact information provided shall also be maintained in accordance with our Privacy Policy.

Thank You! Your feedback has been submitted. Fisher Scientific is always working to improve our content for you. We appreciate your feedback.