missing translation for 'onlineSavingsMsg'
Learn More
Learn More
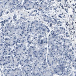
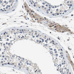
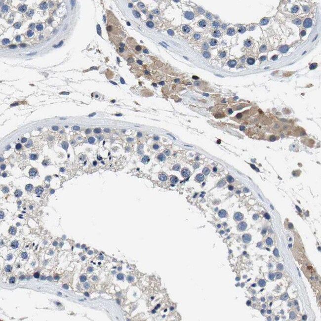
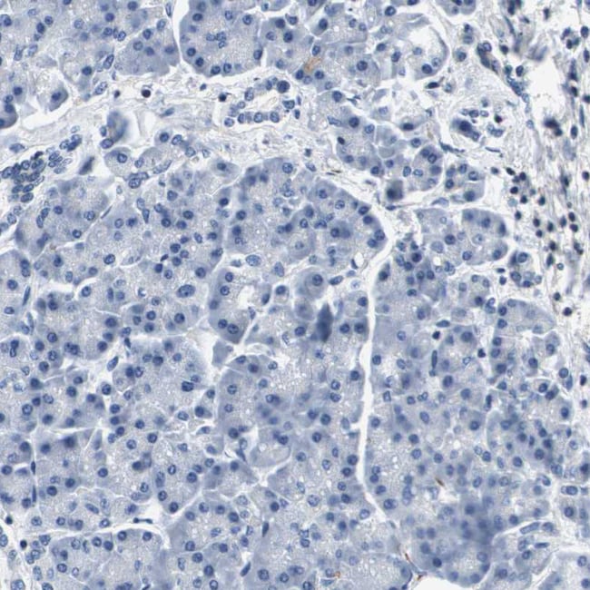
Invitrogen™ KCNQ5 Polyclonal Antibody

Rabbit Polyclonal Antibody
Brand: Invitrogen™ PA5110817
This item is not returnable.
View return policy
Description
Immunogen sequence: LALASFQIPP FECEQTSDYQ SPVDSKDLSG SAQNSGCLSR STSANISRGL QFILTPNEFS AQTFYALSPT MHSQATQVPI SQSDGSAVAA TNTIANQINT APKPAAPTTL QIPPPL Highest antigen sequence indentity to the following orthologs: Rat - 88%, Mouse - 91%.
KCNQs are members of the voltage-dependent non-inactivating potassium channel family. Currently there are five known KNCQs (KCNQ1-5) found in the central nervous system. Studies have shown that KCNQ3 and KCNQ5 form heteromultimers that, when formed, substantially increase the M-current. Inhibition of M-current controls neuron excitability throughout the nervous system as well as the responsiveness to synaptic inputs. Genetic mutations in these proteins have been linked to disorders such as benign familial neonatal convulsions (BFNC), deafness, neuropathic pain and epilepsy. Voltage-dependent potassium channels are key regulators of the resting membrane potential and modulate the excitability of electrically active cells. The channels are usually tetrameric and can interact with auxiliary subunits that enhance or modify currents mediated by the pore-forming subunits.
Specifications
| KCNQ5 | |
| Polyclonal | |
| Unconjugated | |
| KCNQ5 | |
| 7730402H11; 9230107O05Rik; AA589396; D1Mgi1; KCNQ5; Kcnq5l; KQT-like 5; Kv7.5; KvLQT5; potassium channel protein; potassium channel subunit alpha KvLQT5; potassium channel, voltage gated KQT-like subfamily Q, member 5; potassium channel, voltage-gated KQT-like subfamily Q, member 5; potassium voltage-gated channel subfamily KQT member 5; potassium voltage-gated channel subfamily Q member 5; potassium voltage-gated channel, KQT-like subfamily, member 5; potassium voltage-gated channel, subfamily Q, member 5; rCG_43583; voltage-gated potassium channel subunit Kv7.5; voltage-gated potassium channel type Kv7.5 | |
| Rabbit | |
| Antigen affinity chromatography | |
| RUO | |
| 56479 | |
| Store at 4°C short term. For long term storage, store at -20°C, avoiding freeze/thaw cycles. | |
| Liquid |
| Immunohistochemistry (Paraffin), Immunocytochemistry | |
| 0.10 mg/mL | |
| PBS with 40% glycerol and 0.02% sodium azide; pH 7.2 | |
| Q9NR82 | |
| KCNQ5 | |
| Recombinant Protein corresonding to Human KCNQ5. Recombinant protein control fragment (Product #RP-91239). | |
| 100 μL | |
| Primary | |
| Human | |
| Antibody | |
| IgG |
Product Content Correction
Your input is important to us. Please complete this form to provide feedback related to the content on this product.
Product Title
Spot an opportunity for improvement?Share a Content Correction