missing translation for 'onlineSavingsMsg'
Learn More
Learn More
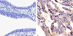
Invitrogen™ JAM-A (CD321) Polyclonal Antibody

Description
JAM-A (CD321) Polyclonal Antibody for ELISA, IHC (P), IP, Western Blot
CD321 (F11R, JAM-1, JAM-A) is a cell-surface adhesion molecule belonging to the Ig superfamily of receptors. CD321 is a 32-41 kD glycoprotein, possessing two extracellular Ig-like domains, a transmembrane region, and a short cytosolic tail. The protein assembles at the membrane as a homodimer, and can associate laterally with other membrane proteins including integrins. CD321 is expressed on a variety of cell types, including leukocytes, platelets, erythrocytes, stem cells, epithelial and endothelial cells, and plays a role in mediating cell-cell contact. CD321 can be found in close proximity to several components of epithelial tight junctions, including ZO-1 and occludin. CD321 is involved in the maintenance of epithelial and endothelial barriers, hematopoiesis, angiogenesis, and tumor proliferation, invasion, and metastasis.
Specifications
Specifications
| Antigen | JAM-A (CD321) |
| Applications | ELISA, Immunohistochemistry (Paraffin), Immunoprecipitation, Western Blot |
| Classification | Polyclonal |
| Concentration | 0.25 mg/mL |
| Conjugate | Unconjugated |
| Formulation | PBS with 0.1% sodium azide; pH 7.4 |
| Gene | F11r |
| Gene Accession No. | Q9Y624 |
| Gene Alias | 9130004G24; AA638916; BV11 antigen; CD321; ESTM33; F11 R; F11 receptor; F11 receptor/F11R; F11R; JAM; JAM1; JAM-1; JAMA; JAM-A; Jcam; Jcam1; junction cell adhesion molecule A; junction cell adhesion molecule1; junctional adhesion molecule 1; Junctional adhesion molecule A; KAT; Ly106; PAM-1; Platelet adhesion molecule 1; platelet F11 receptor; UNQ264/PRO301 |
| Gene Symbols | F11r |
| Show More |
Product Title
By clicking Submit, you acknowledge that you may be contacted by Fisher Scientific in regards to the feedback you have provided in this form. We will not share your information for any other purposes. All contact information provided shall also be maintained in accordance with our Privacy Policy.
Spot an opportunity for improvement?