missing translation for 'onlineSavingsMsg'
Learn More
Learn More
Invitrogen™ JAK2 Monoclonal Antibody (6-D3)

Mouse Monoclonal Antibody
Brand: Invitrogen™ MA544619
This item is not returnable.
View return policy
Description
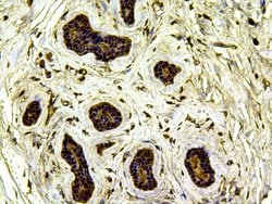
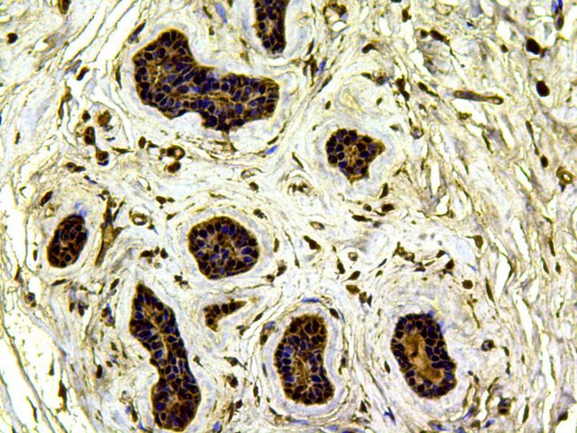
JAK2 Monoclonal Antibody for Western Blot, IHC (P), ICC/IF
Janus kinase 2 (JAK2) is a protein tyrosine kinase involved in a specific subset of cytokine receptor signaling pathways and is mutated in polycythemia vera. This kinase contains the catalytic domain (JH1) of JAK2. The activation of JAKs can lead to the phosphorylation of STAT (signal transducers and activatiors of transcription) proteins, which dimerize and translocate to the nucleus. Once translocated to the nucleus, the STAT proteins can modify transcription of numerous genes, including interferon-stimulated genes. JAK2 is required for the IFN gamma-receptor complex initiation and JAK1 functions as an amplifier. Some studies have suggested that the role of JAK2 might be performed by Tyk2 and JAK3, if they were positioned correctly within the IFN gamma-receptor complex. Mutations affecting JAK2 can cause Budd-Chiari syndrome, Polycythemia vera, Thrombocythemia 3, myelofibrosis, or Acute myelogenous leukemia.
Specifications
| JAK2 | |
| Monoclonal | |
| 2 mg/mL | |
| PBS with 0.2% BSA, 40% glycerol and 0.05% sodium azide; pH 7.4 | |
| O60674, Q62120, Q62689 | |
| JAK2 | |
| Recombinant protein within Human JAK2 aa 883-1,132/1,132. | |
| 100 μL | |
| Primary | |
| Human, Mouse, Rat | |
| Antibody | |
| IgG2b |
| Immunohistochemistry (Paraffin), Western Blot, Immunocytochemistry, Western Blot | |
| 6-D3 | |
| Unconjugated | |
| JAK2 | |
| EC 2.7.10.2; Fd17; JAK 2; JAK2; JAK-2; Janus kinase 2; Janus kinase 2 (a protein tyrosine kinase); JTK 10; JTK10; kinase Jak2; THCYT3; Tyrosine-protein kinase JAK2 | |
| Mouse | |
| Protein A | |
| RUO | |
| 16452, 24514, 3717 | |
| Store at 4°C short term. For long term storage, store at -20°C, avoiding freeze/thaw cycles. | |
| Liquid |
Product Content Correction
Your input is important to us. Please complete this form to provide feedback related to the content on this product.
Product Title
Spot an opportunity for improvement?Share a Content Correction