missing translation for 'onlineSavingsMsg'
Learn More
Learn More
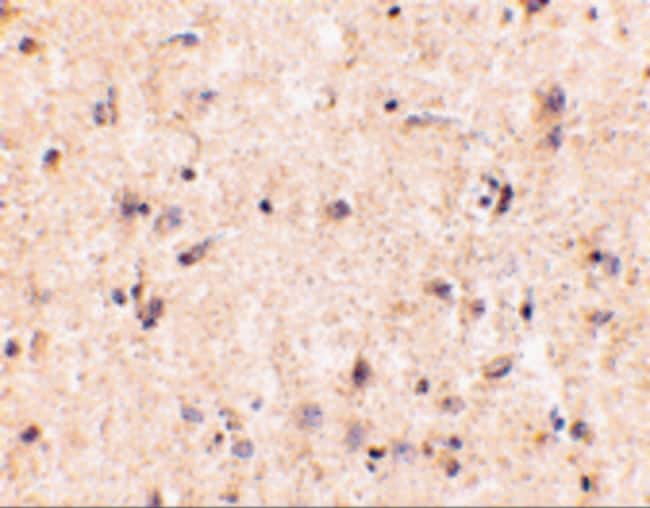
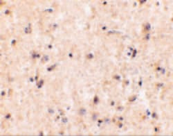
Invitrogen™ IRGM Polyclonal Antibody

Rabbit Polyclonal Antibody
Brand: Invitrogen™ PA520508
This item is not returnable.
View return policy
Description
A suggested positive control is human brain tissue lysate. PA5-20508 can be used with blocking peptide PEP-0628.
Autophagy, the process of bulk degradation of cellular proteins through an autophagosomic-lysosomal pathway is important for normal growth control and may be defective in tumor cells. It is involved in the preservation of cellular nutrients under starvation conditions as well as the normal turnover of cytosolic components. Two of the strongest hits implicate genes IRGM and ATG16L1, which encode proteins thought to be critical to the autophagy pathway and being significantly associated with Crohn's disease. In mouse, IRGM belongs to a family of -gamma-interferon-induced GTP-binding proteins of approximately 48 kDa. Murine IRGM induces autophagy and generates large autolysosomal organelles as a mechanism for the elimination of intracellular Mycobacterium tuberculosis. Human IRGM is also involved in autophagy and plays a role in the control of intracellular pathogens and in the reduction of intracellular bacillary load.
Specifications
| IRGM | |
| Polyclonal | |
| Unconjugated | |
| IRGM | |
| Ifggd3; Ifi1; Iigp3; Iipg3; immunity related GTPase M; immunity related GTPase m1; immunity-related GTPase family M member 1; immunity-related GTPase family M protein; Immunity-related GTPase family M protein 1; immunity-related GTPase family, M; immunity-related GTPase family, M1; immunity-related GTPase M; interferon inducible protein 1; interferon-gamma-inducible GTPase Ifggd3 protein; interferon-inducible GTPase 3; Interferon-inducible protein 1; Irgm; Irgm1; LPS-stimulated RAW 264.7 macrophage protein 47; LPS-stimulated RAW 264.7 macrophage protein 47 homolog; LRG 47; LRG47; LRG-47; LRG-47-like protein; MGC149263 | |
| Rabbit | |
| Antigen affinity chromatography | |
| RUO | |
| 15944, 303090, 345611 | |
| Maintain refrigerated at 2-8°C for up to 3 months. For long term storage store at -20°C | |
| Liquid |
| Immunohistochemistry, Western Blot | |
| 1 mg/mL | |
| PBS with 0.02% sodium azide | |
| A1A4Y4, Q60766, Q6AYC2 | |
| IRGM, Irgm1 | |
| A 14 amino acid peptide near the center of the human IRGM. | |
| 100 μg | |
| Primary | |
| Human, Mouse, Rat | |
| Antibody | |
| IgG |
Product Content Correction
Your input is important to us. Please complete this form to provide feedback related to the content on this product.
Product Title
Spot an opportunity for improvement?Share a Content Correction