missing translation for 'onlineSavingsMsg'
Learn More

Integrin alpha 5/CD49e Rabbit anti-Human, Mouse, Rat, Clone: 8F2O6, Novus Biologicals™

Product Code. 18350922
Change view
Click to view available options
Quantity:
100 μg
20 μg
Unit Size:
100µL
20µL
2 product options available for selection
Product selection table with 2 available options. Use arrow keys to navigate and Enter or Space to select.
Product Code. Quantity unitSize
18350922 100 μg 100µL
18364183 20 μg 20µL
Use arrow keys to navigate between rows. Press Enter or Space to select a product option. 2 options available.
2 options
This item is not returnable. View return policy
Product Code. 18350922 Supplier Bio-Techne Supplier No. NBP315645100UL

Please to purchase this item. Need a web account? Register with us today!

This item is not returnable. View return policy

Rabbit Monoclonal Antibody

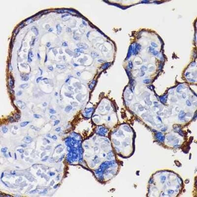
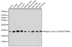
Integrin alpha 5/CD49e Monoclonal antibody specifically detects Integrin alpha 5/CD49e in Human, Mouse, Rat samples. It is validated for Western Blot, Flow Cytometry, Immunohistochemistry, Immunoprecipitation, Immunohistochemistry (Paraffin)
TRUSTED_SUSTAINABILITY

Specifications

Antigen Integrin alpha 5/CD49e
Applications Western Blot, Flow Cytometry, Immunohistochemistry, Immunoprecipitation, Immunohistochemistry (Paraffin)
Classification Monoclonal
Clone 8F2O6
Conjugate Unconjugated
Dilution Western Blot 1:500 - 1:2000, Flow Cytometry 1:50 - 1:200, Immunohistochemistry 1:50 - 1:200, Immunoprecipitation 1:50 - 1:200, Immunohistochemistry-Paraffin
Formulation PBS, 0.05% BSA, 50% glycerol, pH7.3
Gene Alias CD49 antigen-like family member E, CD49e, CD49e antigen, Fibronectin receptor subunit alpha, fibronectin receptor, alpha subunit, FNRAVLA5A, integrin alpha-5, Integrin alpha-F, integrin, alpha 5 (fibronectin receptor, alpha polypeptide), very late activation protein 5, alpha subunit, VLA-5
Host Species Rabbit
Immunogen A synthetic peptide corresponding to a sequence within amino acids 950-1049 of human Integrin alpha 5/CD49e (P08648). HQPFSLQCEAVYKALKMPYRILPRQLPQKERQVATAVQWTKAEGSYGVPLWIIILAILFGLLLLGLLIYILYKLGFFKRSLPYGTAMEKAQLKPPATSDA
Purification Method Affinity purified
Quantity 100 μg
Regulatory Status RUO
Research Discipline CD Markers, Cell Biology, Cytoskeleton Markers, GPCR, Immunology, Signal Transduction, Stem Cells
Primary or Secondary Primary
Gene ID (Entrez) 3678
Target Species Human, Mouse, Rat
Content And Storage Store at -20°C. Avoid freeze-thaw cycles.
Form Purified
Isotype IgG
Show More Show Less
Product Title
Select an issue

By clicking Submit, you acknowledge that you may be contacted by Fisher Scientific in regards to the feedback you have provided in this form. We will not share your information for any other purposes. All contact information provided shall also be maintained in accordance with our Privacy Policy.