missing translation for 'onlineSavingsMsg'
Learn More

Indoleamine 2,3-dioxygenase/IDO Antibody (PD00-62), Novus Biologicals™

Product Code. 30115778 Shop All Bio Techne Products
Change view
Click to view available options
Quantity:
100 μL
Unit Size:
100µL
1 product options available for selection
Product selection table with 1 available options. Use arrow keys to navigate and Enter or Space to select.
Product Code. Quantity unitSize
30115778 100 μL 100µL
Use arrow keys to navigate between rows. Press Enter or Space to select a product option. 1 options available.
1 options
This item is not returnable. View return policy
Product Code. 30115778 Supplier Novus Biologicals Supplier No. NBP332457

Please to purchase this item. Need a web account? Register with us today!

This item is not returnable. View return policy

Rabbit Monoclonal Antibody

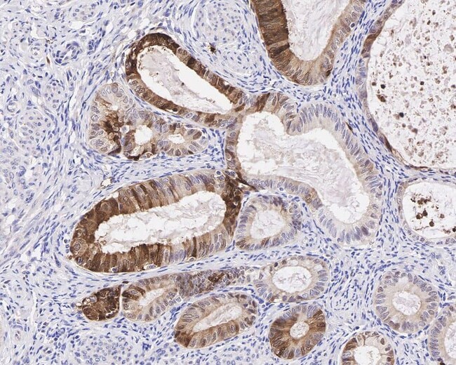
Indoleamine 2,3-dioxygenase/IDO Monoclonal antibody specifically detects Indoleamine 2,3-dioxygenase/IDO in Human samples. It is validated for Immunohistochemistry,Western Blot,Immunohistochemistry (Paraffin),Immunocytochemistry/Immunofluorescence
TRUSTED_SUSTAINABILITY

Specifications

Antigen Indoleamine 2,3-dioxygenase/IDO
Applications Immunohistochemistry, Western Blot, Immunohistochemistry (Paraffin), Immunocytochemistry/Immunofluorescence
Classification Monoclonal
Clone PD00-62
Concentration 1 mg/mL
Conjugate Unconjugated
Dilution Western Blot 1:1000, Immunohistochemistry, Immunocytochemistry/Immunofluorescence 1:100, Immunohistochemistry-Paraffin 1:200
Formulation PBS (pH7.4), 0.1% BSA and 40% Glycerol
Gene Alias EC 1.13.11.52, IDOIDO-1, INDOindole 2,3-dioxygenase, indoleamine 2,3-dioxygenase 1, indoleamine-pyrrole 2,3 dioxygenase, Indoleamine-pyrrole 2,3-dioxygenase
Host Species Rabbit
Immunogen Synthetic peptide derived from the C-terminus of human Indoleamine 2,3-dioxygenase/IDO protein. (Uniprot: P14902)
Purification Method Protein A purified
Quantity 100 μL
Regulatory Status RUO
Research Discipline Cancer, Myeloid derived Suppressor Cell
Primary or Secondary Primary
Gene ID (Entrez) 3620
Target Species Human
Content And Storage Store at 4°C short term. Aliquot and store at -20°C long term. Avoid freeze-thaw cycles.
Form Purified
Isotype IgG
Show More Show Less
Product Title
Select an issue

By clicking Submit, you acknowledge that you may be contacted by Fisher Scientific in regards to the feedback you have provided in this form. We will not share your information for any other purposes. All contact information provided shall also be maintained in accordance with our Privacy Policy.