missing translation for 'onlineSavingsMsg'
Learn More

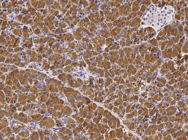
Invitrogen™ Chymotrypsin Polyclonal Antibody

Rabbit Polyclonal Antibody

Brand:  Invitrogen™ PA5148229

Product Code. 30019616

  • £313.00 / 100µL

Please to purchase this item. Need a web account? Register with us today!

This item is not returnable. View return policy

Description

Description

Chymotrypsin Polyclonal Antibody for IHC (P), ELISA

This gene encodes a member of the peptidase S1 family. The encoded protein is a serum calcium-decreasing factor that has chymotrypsin-like protease activity. Alternatively spliced transcript variants have been observed, but their full-length nature has not been determined.
TRUSTED_SUSTAINABILITY
Specifications

Specifications

Chymotrypsin
Polyclonal
Unconjugated
CTRC
1810044E12Rik; caldecrin; chymotrypsin C; chymotrypsin C (caldecrin); chymotrypsin-C; CLCR; Ctrc; ELA4; elastase 4; elastase IV; preprocaldecrin; serum calcium decreasing factor; serum calcium-decreasing factor
Rabbit
Antigen affinity chromatography, Protein A
RUO
11330
Store at 4°C short term. For long term storage, store at -20°C, avoiding freeze/thaw cycles.
Liquid
ELISA, Immunohistochemistry (Paraffin)
1 mg/mL
PBS with no preservative
Q99895
CTRC
Recombinant Human CTRC/chymotrypsin C protein (Cys 17-Leu268).
100 μL
Primary
Human
Antibody
IgG
Product Suggestions

Product Suggestions

Videos
SDS
Documents

Documents

Certificates
Promotions

Promotions

Product Content Correction

Your input is important to us. Please complete this form to provide feedback related to the content on this product.

Product Title

By clicking Submit, you acknowledge that you may be contacted by Fisher Scientific in regards to the feedback you have provided in this form. We will not share your information for any other purposes. All contact information provided shall also be maintained in accordance with our Privacy Policy.

Thank You! Your feedback has been submitted. Fisher Scientific is always working to improve our content for you. We appreciate your feedback.