missing translation for 'onlineSavingsMsg'
Learn More

IKK beta Rabbit anti-Human, Mouse, Rat, Clone: 7G8J8, Novus Biologicals™

Product Code. 18346845 Shop All Bio Techne Products
Change view
Click to view available options
Quantity:
100 μg
20 μg
Unit Size:
100µL
20µL
2 product options available for selection
Product selection table with 2 available options. Use arrow keys to navigate and Enter or Space to select.
Product Code. Quantity unitSize
18346845 20 μg 20µL
18369804 100 μg 100µL
Use arrow keys to navigate between rows. Press Enter or Space to select a product option. 2 options available.
2 options
This item is not returnable. View return policy
Product Code. 18346845 Supplier Novus Biologicals Supplier No. NBP31581020UL

Please to purchase this item. Need a web account? Register with us today!

This item is not returnable. View return policy

Rabbit Monoclonal Antibody

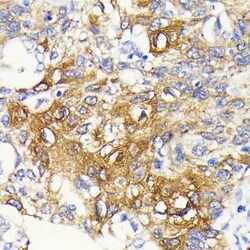
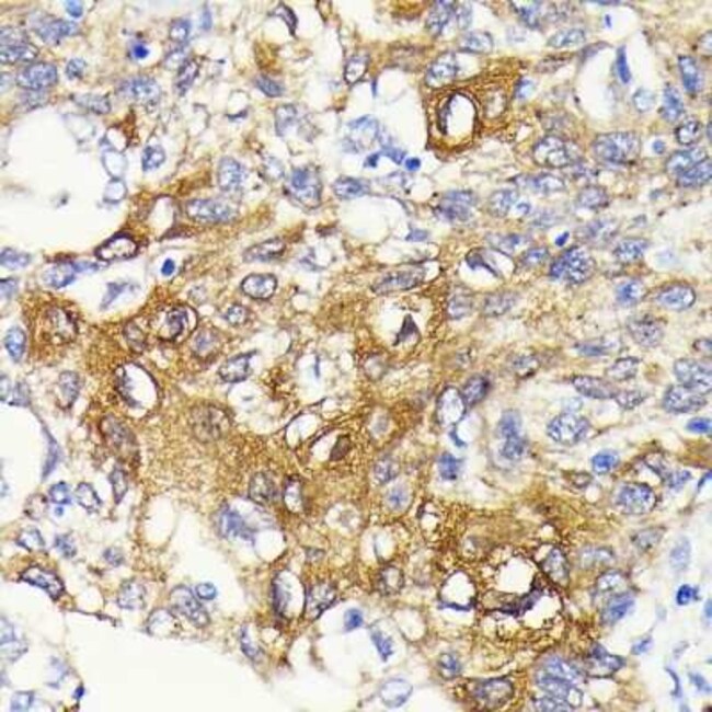
IKK beta Monoclonal antibody specifically detects IKK beta in Human, Mouse, Rat samples. It is validated for Western Blot, Immunohistochemistry, Immunofluorescence, Immunohistochemistry (Paraffin)
TRUSTED_SUSTAINABILITY

Specifications

Antigen IKK beta
Applications Western Blot, Immunohistochemistry, Immunofluorescence, Immunohistochemistry (Paraffin)
Classification Monoclonal
Clone 7G8J8
Conjugate Unconjugated
Dilution Western Blot, Immunohistochemistry 1:50 - 1:200, Immunocytochemistry/Immunofluorescence, Immunohistochemistry-Paraffin
Formulation PBS, 0.05% BSA, 50% glycerol, pH7.3
Gene Alias EC 2.7.11, EC 2.7.11.10, I-kappa-B kinase 2, I-kappa-B-kinase beta, IkBKB, IKK2FLJ38368, IKK-B, IKK-betaFLJ36218, IKKBFLJ40509, inhibitor of kappa light polypeptide gene enhancer in B-cells, kinase beta, inhibitor of nuclear factor kappa-B kinase subunit beta, MGC131801, NFKBIKBFLJ33771, Nuclear factor NF-kappa-B inhibitor kinase beta
Host Species Rabbit
Immunogen Recombinant fusion protein containing a sequence corresponding to amino acids 450-756 of human IKK beta (O14920).
Purification Method Affinity purified
Quantity 20 μg
Regulatory Status RUO
Research Discipline Cancer, Immunology, Innate Immunity, mTOR Pathway, Protein Kinase
Primary or Secondary Primary
Gene ID (Entrez) 3551
Target Species Human, Mouse, Rat
Content And Storage Store at -20°C. Avoid freeze-thaw cycles.
Form Purified
Isotype IgG
Show More Show Less
Product Title
Select an issue

By clicking Submit, you acknowledge that you may be contacted by Fisher Scientific in regards to the feedback you have provided in this form. We will not share your information for any other purposes. All contact information provided shall also be maintained in accordance with our Privacy Policy.