missing translation for 'onlineSavingsMsg'
Learn More

Invitrogen™ IkB beta Recombinant Rabbit Monoclonal Antibody (24GB235)

Rabbit Recombinant Monoclonal Antibody

Brand:  Invitrogen™ MA557118

 View more versions of this product

Product Code. 30275841

  • £126.00 / 20µL

Please to purchase this item. Need a web account? Register with us today!

This item is not returnable. View return policy

Description

Description

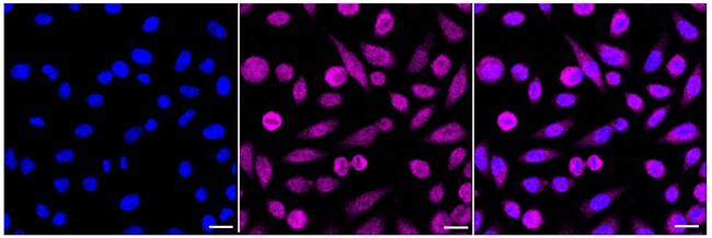
IkB beta Recombinant Monoclonal Antibody for Western Blot, ICC/IF, Flow

The NF-kB/Rel transcription factors are present in the cytosol in an inactive state, complexed with the inhibitory IkB proteins. Most agents that activate NF-kB do so through a common pathway based on phosphorylation-induced, proteasome-mediated degradation of IkB. The key regulatory step in this pathway involves activation of a high molecular weight IkB kinase (IKK) complex whose catalysis is generally carried out by three tightly associated IKK subunits. IKK alpha and IKK beta serve as the catalytic subunits of the kinase and IKK gamma serves as the regulatory subunit. Activation of IKK depends upon phosphorylation at Ser177 and Ser181 in the activation loop of IKK beta (Ser176 and Ser180 in IKK alpha), which causes conformational changes, resulting in kinase activation.
TRUSTED_SUSTAINABILITY
Specifications

Specifications

IkB beta
Recombinant Monoclonal
Unconjugated
NFKBIB
I kappa B beta; I(Kappa)B(beta); ikappaBbeta; I-kappa-B-beta; IkB; IKB B; IKB beta; Ikbb; ikB-B; IkBbeta; ikB-beta; NF kappa BIB; NF-kappa-B inhibitor beta; NF-kappa-BIB; NFKB inhibitor beta; NFKBIB; nuclear factor of kappa light chain gene enhancer in B-cells inhibitor, beta; nuclear factor of kappa light polypeptide gene enhancer in B cells inhibitor, beta; nuclear factor of kappa light polypeptide gene enhancer in B-cells inhibitor, beta; Thyroid receptor; thyroid receptor-interacting protein 9; TR-interacting protein 9; TRIP 9; TRIP9; TRIP-9
Rabbit
Affinity chromatography
RUO
4793
-20°C
Liquid
Flow Cytometry, Western Blot, Immunocytochemistry
24GB235
PBS with 50% glycerol and 0.02% sodium azide; pH 7.4
Q15653
NFKBIB
A synthesized peptide derived from human IKB beta (aa 300-356).
20 μL
Primary
Human
Antibody
IgG
Product Suggestions

Product Suggestions

Videos
SDS
Documents

Documents

Certificates
Promotions

Promotions

Product Content Correction

Your input is important to us. Please complete this form to provide feedback related to the content on this product.

Product Title

By clicking Submit, you acknowledge that you may be contacted by Fisher Scientific in regards to the feedback you have provided in this form. We will not share your information for any other purposes. All contact information provided shall also be maintained in accordance with our Privacy Policy.

Thank You! Your feedback has been submitted. Fisher Scientific is always working to improve our content for you. We appreciate your feedback.