missing translation for 'onlineSavingsMsg'
Learn More

IGSF10 Antibody, Novus Biologicals™

Product Code. 18426410 Shop All Bio Techne Products
Change view
Click to view available options
Quantity:
0.1 mL
25 μL
Unit Size:
0.1mL
25µL
2 product options available for selection
Product selection table with 2 available options. Use arrow keys to navigate and Enter or Space to select.
Product Code. Quantity unitSize
18426410 25 μL 25µL
18289046 0.1 mL 0.1mL
Use arrow keys to navigate between rows. Press Enter or Space to select a product option. 2 options available.
2 options
This item is not returnable. View return policy
Product Code. 18426410 Supplier Novus Biologicals Supplier No. NBP18443525ul

Please to purchase this item. Need a web account? Register with us today!

This item is not returnable. View return policy

Rabbit Polyclonal Antibody

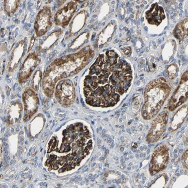
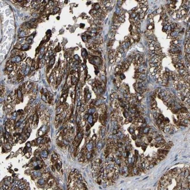
IGSF10 Polyclonal specifically detects IGSF10 in Human samples. It is validated for Immunohistochemistry, Immunocytochemistry/Immunofluorescence, Immunohistochemistry-Paraffin.
TRUSTED_SUSTAINABILITY

Specifications

Antigen IGSF10
Applications Immunohistochemistry, Immunocytochemistry, Immunofluorescence, Immunohistochemistry (Paraffin)
Classification Polyclonal
Conjugate Unconjugated
Dilution Immunohistochemistry, Immunocytochemistry/Immunofluorescence 1 - 4 ug/ml, Immunohistochemistry-Paraffin 1:50 - 1:200
Formulation PBS (pH 7.2) and 40% Glycerol with 0.02% Sodium Azide
Gene Alias Calvaria mechanical force protein 608, CMF608FLJ25972, IgSF10, immunoglobulin superfamily member 10, immunoglobulin superfamily, member 10
Gene Symbols IGSF10
Host Species Rabbit
Immunogen This antibody was developed against Recombinant Protein corresponding to amino acids:AQITLPRAEMRPVKHKWTMISRDNNTKLEHTVLVGGTVGLNCPGQGDPTPHVDWLLADGSKVRAPYVSEDGRILIDKSGKLELQMADSFDTGVYHCISSNYDDADILTYRITVVEPLVEAYQENGIHHTVFIGETLDLPCHSTGIP
Purification Method Affinity Purified
Quantity 25 μL
Regulatory Status RUO
Primary or Secondary Primary
Gene ID (Entrez) 285313
Test Specificity Specificity of antibody verified on a Protein Array containing target protein plus 383 other non-specific proteins.
Target Species Human
Content And Storage Store at 4C short term. Aliquot and store at -20C long term. Avoid freeze-thaw cycles.
Isotype IgG
Show More Show Less

For Research Use Only

Produkttitel
Välj ett problem

Genom att klicka på Skicka bekräftar du att du kan bli kontaktad av Fisher Scientific angående feedbacken du har lämnat i detta formulär. Vi kommer inte att dela din information för andra ändamål. All kontaktinformation som tillhandahålls ska också underhållas i enlighet med vår Sekretesspolicy.