Learn More
Invitrogen™ IGFBP4 Polyclonal Antibody

Rabbit Polyclonal Antibody
Brand: Invitrogen™ PA5116914
Description
Positive Samples: A-549, SW480 Immunogen sequence: DEAIHCPPCS EEKLARCRPP VGCEELVREP GCGCCATCAL GLGMPCGVYT PRCGSGLRCY PPRGVEKPLH TLMHGQGVCM ELAEIEAIQE SLQPSDKDEG DHPNNSFSPC SAHDRRCLQK HFAKIRDRST SGGKMKVNGA PREDARPVPQ GSCQSELHRA LERLAASQSR THEDLYIIPI PNCDRNGNFH PKQCHPALDG QRGKCWCVDR KTGVKLPGGL EPKGELDCHQ LADSFRE.
This gene is a member of the insulin-like growth factor binding protein family and encodes a protein with an IGFBP domain and a thyroglobulin type-I domain. The protein binds both insulin-like growth factors I and II and circulates in the plasma in both glycosylated and non-glycosylated forms. Binding of this protein prolongs the half-life of the IGFs and alters their interaction with cell surface receptors.
Specifications
| IGFBP4 | |
| Polyclonal | |
| Unconjugated | |
| IGFBP4 | |
| AI875747; Band 3A; BP-4; Deb2; differentially expressed in B16F10 2; HT29-IGFBP; IBP4; IBP-4; IGF-binding protein 4; IGFBP; Igfbp4; IGF-BP4; IGFBP-4; Insulin like growth factor binding protein; insulin like growth factor binding protein 4; insulin-like growth factor binding protein 4; insulin-like growth factor binding protein-4; insulin-like growth factor-binding protein 4; insulin-like growth factor-binding protein-4; LOW QUALITY PROTEIN: insulin-like growth factor-binding protein 4 | |
| Rabbit | |
| Affinity chromatography | |
| RUO | |
| 16010, 3487, 360622 | |
| -20°C, Avoid Freeze/Thaw Cycles | |
| Liquid |
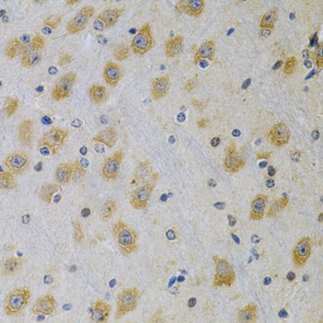
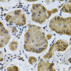
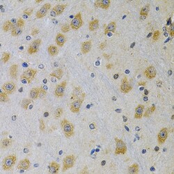
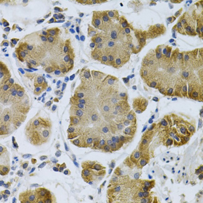
| ELISA, Immunohistochemistry (Paraffin), Western Blot, Immunocytochemistry | |
| 1.68 mg/mL | |
| PBS with 50% glycerol and 0.02% sodium azide; pH 7.3 | |
| P21744, P22692, P47879 | |
| IGFBP4 | |
| Recombinant fusion protein containing a sequence corresponding to amino acids 22-258 of human IGFBP4 (NP_0015432). | |
| 100 μL | |
| Primary | |
| Human, Mouse, Rat | |
| Antibody | |
| IgG |
Your input is important to us. Please complete this form to provide feedback related to the content on this product.