missing translation for 'onlineSavingsMsg'
Learn More
Learn More
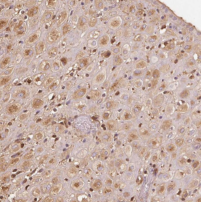
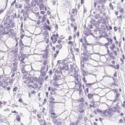
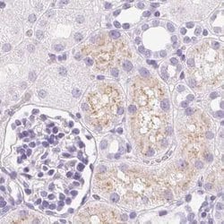
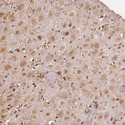
Invitrogen™ IGFBP-1 Polyclonal Antibody

Rabbit Polyclonal Antibody
Brand: Invitrogen™ PA561388
This item is not returnable.
View return policy
Description
Immunogen sequence: QQPLHALTRG QGACVQESDA SAPHAAEAGS PESPESTEIT EEELLDNFHL MAPSEEDHSI LWDAISTYDG S Highest antigen sequence identity to the following orthologs: Mouse - 55%, Rat - 56%.
This gene is a member of the insulin-like growth factor binding protein (IGFBP) family and encodes a protein with an IGFBP domain and a thyroglobulin type-I domain. The protein binds both insulin-like growth factors (IGFs) I and II and circulates in the plasma. Binding of this protein prolongs the half-life of the IGFs and alters their interaction with cell surface receptors.
Specifications
| IGFBP-1 | |
| Polyclonal | |
| Unconjugated | |
| IGFBP1 | |
| AFBP; alpha-pregnancy-associated endometrial globulin; amniotic fluid binding protein; Binding protein 25; Binding protein 26; Binding protein 28; binding protein-25; binding protein-26; binding protein-28; growth hormone independent-binding protein; hIGFBP 1; hIGFBP1; hIGFBP-1; IBP 1; IBP1; IBP-1; IGF BP25; IGFBA; IGF-binding protein 1; IGFBP; IGFBP 1; Igfbp1; Igfbp-1; IGF-BP25; Insulin like growth factor binding protein; insulin like growth factor binding protein 1; insulin-like growth factor binding protein 1; INSULIN-LIKE GROWTH FACTOR BINDING PROTEIN 1 PRECURSOR (IGFBP-1) (IBP-1) (IGF-BINDING PROTEIN 1); insulin-like growth factor-binding protein 1; Placental protein 12; PP 12; PP12 | |
| Rabbit | |
| Antigen affinity chromatography | |
| RUO | |
| 3484 | |
| Store at 4°C short term. For long term storage, store at -20°C, avoiding freeze/thaw cycles. | |
| Liquid |
| Immunohistochemistry (Paraffin), Immunocytochemistry | |
| 0.1 mg/mL | |
| PBS with 40% glycerol and 0.02% sodium azide; pH 7.2 | |
| P08833 | |
| IGFBP1 | |
| Recombinant protein corresponding to Human IGFBP1. Recombinant protein control fragment (Product #RP-98489). | |
| 100 μL | |
| Primary | |
| Human | |
| Antibody | |
| IgG |
Product Content Correction
Your input is important to us. Please complete this form to provide feedback related to the content on this product.
Product Title
Spot an opportunity for improvement?Share a Content Correction