missing translation for 'onlineSavingsMsg'
Learn More

Invitrogen™ IGF2R Recombinant Mouse Monoclonal Antibody (K9N036_8A3)

Product Code. 30827071
Change view
Click to view available options
Quantity:
50 μL
100 μL
2 product options available for selection
Product selection table with 2 available options. Use arrow keys to navigate and Enter or Space to select.
Product Code. Quantity
30827071 100 μL
30827382 50 μL
Use arrow keys to navigate between rows. Press Enter or Space to select a product option. 2 options available.
2 options
This item is not returnable. View return policy
Product Code. 30827071 Supplier Invitrogen™ Supplier No. MA564496

Please to purchase this item. Need a web account? Register with us today!

This item is not returnable. View return policy

Mouse Recombinant Monoclonal Antibody

Immunogen sequence: AVDGSQTETE KKHFFINICH RVLQEGKARG CPEDAAVCAV DKNGSKNLGK FISSPMKEKG NIQLSYSDGD DCGHGKKIKT Highest antigen sequence identity to the following orthologs: Mouse - 85%, Pig - 83%, Cynomolgus monkey - 96%.

Lysosomal enzymes containing one or two mannose 6-phosphate (man6P) moieties are moved about in the cell by two distinct but interconnected cycles by means of approximately 300 kDa cation independent mannose 6-phospate receptors (CI-MPR). The biosynthetic cycle refers to the MPR transport of newly synthesized lysosomal enzymes from the trans Golgi network to late endosomes or early lysosomes. The endocytic cycle transports extracellular lysosomal enzymes from the plasma membrane via clathrin-coated vesicles to early endosomes. The entire pool of MPRs cycles between these cellular compartments every 3 hours. The steady state distribution of MPR's is predominantly within late endosomes, fewer in the trans Golgi network and approximately 10 % at cell surface. In addition to its man6P binding activity, the MPR contains a separate binding site for the type II insulin-like growth factor and is capable of binding both man6P and IGF-II simultaneously. An approximately 240 kDa soluble, truncated form, representing the extracellular domain of the protein, has also been found circulating in serum and is capable of binding both ligands.
TRUSTED_SUSTAINABILITY

Specifications

Antigen IGF2R
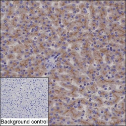
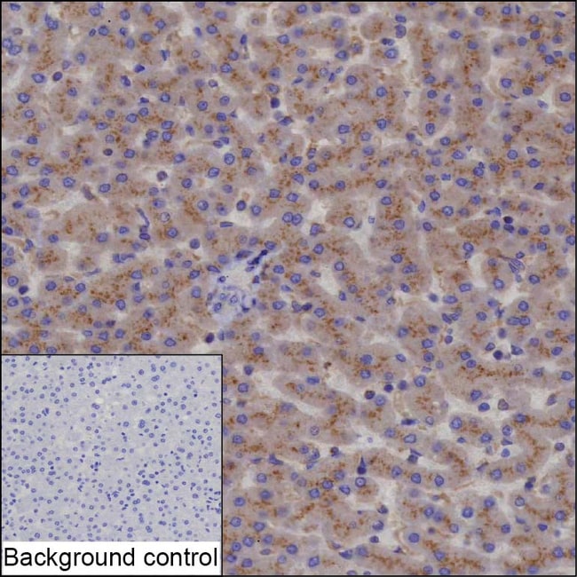
Applications Immunohistochemistry (Paraffin)
Classification Recombinant Monoclonal
Clone K9N036_8A3
Concentration 1 mg/mL
Conjugate Unconjugated
Formulation PBS with 50% glycerol, 0.5% BSA and 0.09% sodium azide
Gene IGF2R
Gene Accession No. P11717
Gene Alias 300 kDa mannose 6-phosphate receptor; AI661837; cation-independent mannose 6-phosphate receptor; cation-independent mannose 6-phosphate receptor protein; cation-independent mannose-6-phosphate receptor; cation-independent MPR; CD222; CI Man-6-P receptor; CI-M6PR; CIMPR; CI-MPR; Igf2r; IGF-II receptor; IGF-II/CI-MPR; Igfr2; insulin like growth factor 2 receptor; insulin-like growth factor 2 receptor; Insulin-like growth factor II receptor; insulin-like growth factor receptor type 2; M6P; M6P/IGF2 receptor; M6P/IGF2R; M6PR; M6P-R; mannose-6-phosphate receptor, cation independent; mannose-6-phosphate/insulin-like growth factor II receptor; MPR 300; MPR1; MPR300; MPRI; similar to mannose-6-phosphate/insulin-like growth factor II receptor
Gene Symbols IGF2R
Host Species Mouse
Immunogen Recombinant human IGF2R (aa 501-580).
Purification Method Protein A
Quantity 100 μL
Regulatory Status RUO
Primary or Secondary Primary
Gene ID (Entrez) 3482
Target Species Human
Content And Storage Maintain refrigerated at 2-8°C for up to 1 month. For long term storage store at -20°C
Product Type Antibody
Form Liquid
Isotype IgG2a
Show More Show Less
Product Title
Select an issue

By clicking Submit, you acknowledge that you may be contacted by Fisher Scientific in regards to the feedback you have provided in this form. We will not share your information for any other purposes. All contact information provided shall also be maintained in accordance with our Privacy Policy.