missing translation for 'onlineSavingsMsg'
Learn More

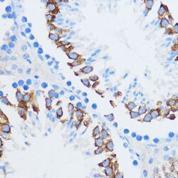
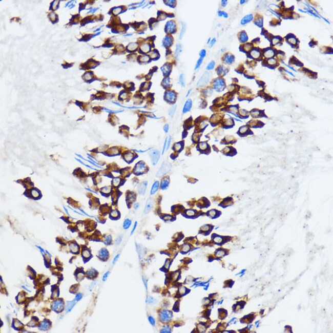
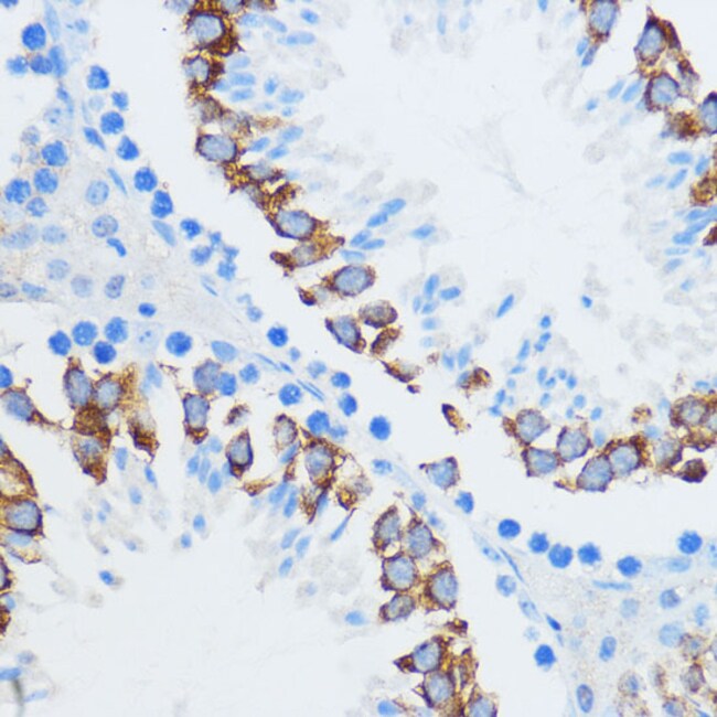
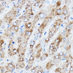
Invitrogen™ IGF2BP3 Polyclonal Antibody

Rabbit Polyclonal Antibody

Brand:  Invitrogen™ PA596506

Product Code. 16579341

  • £442.00 / 100µL

Please to purchase this item. Need a web account? Register with us today!

This item is not returnable. View return policy

Description

Description

Immunogen sequence: KKIEQDTDTK ITISPLQELT LYNPERTITV KGNVETCAKA EEEIMKKIRE SYENDIASMN LQAHLIPGLN LNALGLFPPT SGMPPPTSGP PSAMTPPYPQ FEQSETETVH LFIPALSVGA IIGKQGQHIK QLSRFAGASI KIAPAEAPDA KVRMVIITGP PEAQFKAQGR IYGKIKEENF VSPKEEVKLE AHIRVPSFAA GRVIGKGGKT VNELQNLSSA EVVVPRDQTP DENDQVVVKI TGHFYACQVA QRKIQEILTQ VKQHQQQKAL QSGPPQSRRK; Positive Samples: HepG2, A-549, 293T, HeLa, Mouse testis; Cellular Location: Cytoplasm, Nucleus.

Insulin-like growth factor-II messenger RNA (mRNA)-binding protein-3 (IMP-3), also known as K homology domain-containing protein overexpressed in cancer (KOC) and L523S, is a member of the insulin-like growth factor-II mRNA-binding protein family and is expressed during embryogenesis and in some malignancies. IMP-3 is expressed in malignant melanoma but not in benign nevi, even when dysplastic features are present; IMP-3 is expressed in a significantly higher proportion of melanomas than Spitz nevi; and IMP-3 is expressed in metastatic melanomas significantly more than in thin melanomas. IMP-3 appears to be involved in the progression of malignant melanoma and may play an important role in the regulation of the biologic behavior of this tumor.
TRUSTED_SUSTAINABILITY
Specifications

Specifications

IGF2BP3
Polyclonal
Unconjugated
IGF2BP3
2610101N11Rik; AA522010; Ab2-255; AL022933; AU045931; cancer/testis antigen 98; CT98; hKOC; IGF2 mRNA-binding protein 3; IGF2BP3; IGF-II mRNA-binding protein 3; IMP3; IMP-3; insulin like growth factor 2 mRNA binding protein 3; insulin-l; insulin-like growth factor 2 mRNA binding protein 3; insulin-like growth factor 2 mRNA-binding protein 3; insulin-like growth factor 2, binding protein 3; KH domain containing protein overexpressed in cancer; KH domain-containing protein overexpressed in cancer; KOC; KOC1; Koc13; mimp3; mIMP-3; Neilsen; RGD1306512; VICKZ family member 3; Vickz3
Rabbit
Affinity Chromatography
RUO
10643, 140488, 312320
-20°C, Avoid Freeze/Thaw Cycles
Liquid
ELISA, Immunohistochemistry (Paraffin), Immunoprecipitation, Western Blot, Immunocytochemistry
2.12 mg/mL
PBS with 50% glycerol and 0.02% sodium azide; pH 7.3
O00425, Q9CPN8
IGF2BP3
Recombinant fusion protein containing a sequence corresponding to amino acids 300-579 of human IGF2BP3 (NP_0065382).
100 μL
Primary
Human, Mouse, Rat
Antibody
IgG
Product Suggestions

Product Suggestions

Videos
SDS
Documents

Documents

Certificates
Promotions

Promotions

Product Content Correction

Your input is important to us. Please complete this form to provide feedback related to the content on this product.

Product Title

Al hacer clic en Enviar, acepta que Fisher Scientific se ponga en contacto con usted en relación con los comentarios que ha proporcionado en este formulario. No compartiremos su información para ningún otro fin. Toda la información de contacto proporcionada se mantendrá de acuerdo con nuestra Política de Privacidad. Política de privacidad.

Gracias por ayudarnos a mejorar nuestra web. Su comentario ha sido enviado