missing translation for 'onlineSavingsMsg'
Learn More
Learn More
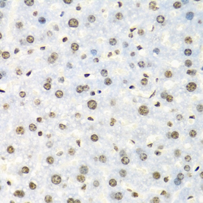
Invitrogen™ IGF2BP2 Polyclonal Antibody
Rabbit Polyclonal Antibody
Brand: Invitrogen™ PA576880
This item is not returnable.
View return policy
Description
The antibody was affinity-purified from rabbit antiserum by affinity-chromatography using epitope-specific immunogen and the purity is > 95% (by SDS-PAGE).
IGF2BP2 is a member of the IGF-II mRNA-binding protein (IMP) family. It recruits target transcripts to cytoplasmic protein-RNA complexes. The protein contains several four KH domains and two RRM domains. It functions by binding to the 5' UTR of the insulin-like growth factor 2 (IGF2) mRNA and regulating IGF2 translation. Alternate transcriptional splice variants, encoding different isoforms, have been characterized. Autoantibodies against IGF2BP2 are detected in sera from some patients with hepatocellular carcinoma.
Specifications
| IGF2BP2 | |
| Polyclonal | |
| Unconjugated | |
| IGF2BP2 | |
| C330012H03Rik; Hepatocellular carcinoma autoantigen p62; IGF2 mRNA-binding protein 2; IGF2BP2; IGF-II mRNA-binding protein 2; Imp2; IMP-2; insulin like growth factor 2 mRNA binding protein 2; insulin-like growth factor 2 mRNA binding protein 2; insulin-like growth factor 2 mRNA-binding protein 2; insulin-like growth factor 2, binding protein 2; Neilsen; p62; RGD1305614; VICKZ family member 2; VICKZ2 | |
| Rabbit | |
| Antigen affinity chromatography | |
| RUO | |
| 10644, 319765 | |
| Store at 4°C short term. For long term storage, store at -20°C, avoiding freeze/thaw cycles. | |
| Liquid |
| Immunohistochemistry (Paraffin), Western Blot, Immunocytochemistry | |
| 1 mg/mL | |
| PBS with 50% glycerol and 0.02% sodium azide; pH 7.2 | |
| Q5SF07, Q9Y6M1 | |
| IGF2BP2 | |
| Recombinant full length Human IGF2BP2. | |
| 100 μL | |
| Primary | |
| Human, Mouse | |
| Antibody | |
| IgG |
Product Content Correction
Your input is important to us. Please complete this form to provide feedback related to the content on this product.
Product Title
Spot an opportunity for improvement?Share a Content Correction