Learn More
Invitrogen™ IDH2 Polyclonal Antibody

Rabbit Polyclonal Antibody
Brand: Invitrogen™ PA596605
Description
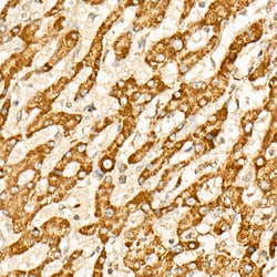
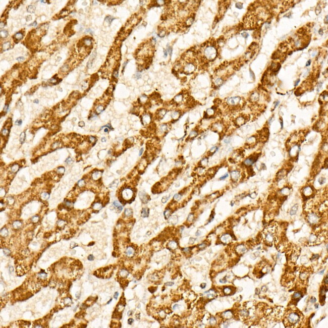
Immunogen sequence: KMVFTPKDGS GVKEWEVYNF PAGGVGMGMY NTDESISGFA HSCFQYAIQK KWPLYMSTKN TILKAYDGRF KDIFQEIFDK HYKTDFDKNK IWYEHRLIDD MVAQVLKSSG GFVWACKNYD GDVQSDILAQ GFGSLGLMTS VLVCPDGKTI EAEAAHGTVT RHYREHQKGR PTSTNPIASI FAWTRGLEHR GKLDGNQDLI RFAQMLEKVC VETVESGAMT KDLAGCIHGL SNVKLNEHFL NTTDFLDTIK SNLDRALGRQ; Positive Samples: HL-60, MCF-7, Jurkat, HepG2, U-87MG, Mouse kidney, Mouse heart, Rat lung, Rat kidney; Cellular Location: Mitochondrion.
Isocitrate dehydrogenases catalyze the oxidative decarboxylation of isocitrate to 2-oxoglutarate. These enzymes belong to two distinct subclasses, one of which utilizes NADas the electron acceptor and the other NADP. Five isocitrate dehydrogenases have been reported: three NAD-dependent isocitrate dehydrogenases, which localize to the mitochondrial matrix, and two NADP-dependent isocitrate dehydrogenases, one of which is mitochondrial and the other predominantly cytosolic. Each NADP-dependent isozyme is a homodimer. The protein encoded by this gene is the NADP-dependent isocitrate dehydrogenase found in the mitochondria. It plays a role in intermediary metabolism and energy production. This protein may tightly associate or interact with the pyruvate dehydrogenase complex.
Specifications
| IDH2 | |
| Polyclonal | |
| Unconjugated | |
| Idh2 | |
| D2HGA2; E430004F23; ICD-M; IDH; Idh2; Idh-2; IDHM; IDP; IDPM; isocitrate dehydrogenase (NADP(+)) 2; isocitrate dehydrogenase (NADP(+)) 2, mitochondrial; isocitrate dehydrogenase [NADP], mitochondrial; isocitrate dehydrogenase 2 (NADP+), mitochondrial; mNADP-IDH; NADP(+)-specific ICDH; NADP+-specific ICDH; NADP+-specific isocitrate dehydrogenase; NADPH-specific isocitrate dehydrogenase; oxalosuccinate decarboxylase | |
| Rabbit | |
| Affinity Chromatography | |
| RUO | |
| 269951, 3418, 361596 | |
| -20°C, Avoid Freeze/Thaw Cycles | |
| Liquid |
| ChIP Assay, ELISA, Immunohistochemistry (Paraffin), Immunoprecipitation, Western Blot, Immunocytochemistry | |
| 0.65 mg/mL | |
| PBS with 50% glycerol and 0.05% ProClin 300; pH 7.3 | |
| P48735, P54071, P56574 | |
| Idh2 | |
| Recombinant fusion protein containing a sequence corresponding to amino acids 193-452 of human IDH2 (NP_0021592). | |
| 100 μL | |
| Primary | |
| Human, Mouse, Rat | |
| Antibody | |
| IgG |
Your input is important to us. Please complete this form to provide feedback related to the content on this product.