missing translation for 'onlineSavingsMsg'
Learn More
Learn More
Invitrogen™ IDH1 Monoclonal Antibody (4A3)

Mouse Monoclonal Antibody
Brand: Invitrogen™ MA524877
This item is not returnable.
View return policy
Description
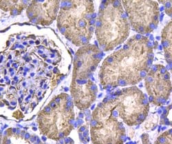
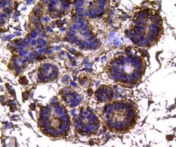
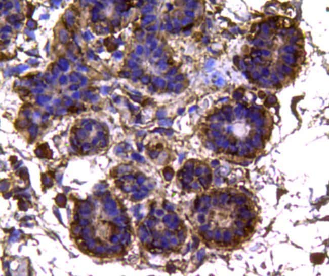
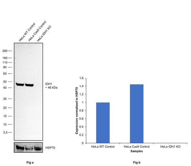
IDH1 Monoclonal Antibody for Western Blot, IHC (P)
Isocitrate dehydrogenases catalyze the oxidative decarboxylation of isocitrate to 2-oxoglutarate. These enzymes belong to two distinct subclasses, one of which utilizes NAD(+) as the electron acceptor and the other NADP(+). Five isocitrate dehydrogenases have been reported: three NAD(+)-dependent isocitrate dehydrogenases, which localize to the mitochondrial matrix, and two NADP(+)-dependent isocitrate dehydrogenases, one of which is mitochondrial and the other predominantly cytosolic. Each NADP(+)-dependent isozyme is a homodimer. The protein encoded by this gene is the NADP(+)-dependent isocitrate dehydrogenase found in the cytoplasm and peroxisomes. It contains the PTS-1 peroxisomal targeting signal sequence. The presence of this enzyme in peroxisomes suggests roles in the regeneration of NADPH for intraperoxisomal reductions, such as the conversion of 2, 4-dienoyl-CoAs to 3-enoyl-CoAs, as well as in peroxisomal reactions that consume 2-oxoglutarate, namely the alpha-hydroxylation of phytanic acid. The cytoplasmic enzyme serves a significant role in cytoplasmic NADPH production.
Specifications
| IDH1 | |
| Monoclonal | |
| 1 mg/mL | |
| PBS with 50% glycerol and 0.02% sodium azide; pH 7.2 | |
| O75874 | |
| IDH1 | |
| Recombinant protein corresponding to a region of IDH1. | |
| 100 μL | |
| Primary | |
| Human, Zebrafish | |
| Antibody | |
| IgG1 |
| Immunohistochemistry (Paraffin), Western Blot | |
| 4A3 | |
| Unconjugated | |
| IDH1 | |
| AI314845; AI788952; cb876; corneal epithelial crystallin; cytosolic NADP+-dependent isocitrate dehydrogenase; cytosolic NADP-isocitrate dehydrogenase; cytosolic NADP-isocitrate dehydrongenase; E030024J03Rik; epididymis luminal protein 216; epididymis secretory protein Li 26; fm90e09; HEL-216; HEL-S-26; ICDH; Id-1; IDCD; IDH; Idh1; Idh-1; IDP; Idpc; im:7143416; isocitrate dehydrogenase (NAD(+)) IDH1; isocitrate dehydrogenase (NADP(+)) 1; isocitrate dehydrogenase (NADP(+)) 1, cytosolic; Isocitrate dehydrogenase [NAD] subunit 1, mitochondrial; Isocitrate dehydrogenase [NADP] cytoplasmic; isocitrate dehydrogenase 1 (NADP+); isocitrate dehydrogenase 1 (NADP+), soluble; Isocitrate dehydrogenase 1, soluble; Isocitric dehydrogenase; N2690; NAD(+)-specific ICDH; NADP(+)-specific ICDH; NADP+-specific ICDH; NADP-cICDH; NADP-dependent isocitrate dehydrogenase, cytosolic; NADP-dependent isocitrate dehydrogenase, peroxisomal; OTTHUMP00000206464; OTTHUMP00000206465; OTTHUMP00000206466; oxalosuccinate decarboxylase; PICD; wu:fm90e09; YNL037C | |
| Mouse | |
| Protein A | |
| RUO | |
| 100006589, 3417 | |
| Store at 4°C short term. For long term storage, store at -20°C, avoiding freeze/thaw cycles. | |
| Liquid |
Product Content Correction
Your input is important to us. Please complete this form to provide feedback related to the content on this product.
Product Title
Spot an opportunity for improvement?Share a Content Correction