missing translation for 'onlineSavingsMsg'
Learn More
Learn More
Invitrogen™ ICAM-5 Precursor Polyclonal Antibody

Goat Polyclonal Antibody
Brand: Invitrogen™ PA518607
This item is not returnable.
View return policy
Description
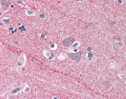
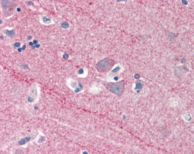
This antibody is predicted to react with bovine, mouse, porcine and rat based on sequence homology. This antibody is tested in Peptide ELISA: antibody detection limit dilution 128,000.
The protein encoded by this gene is a member of the intercellular adhesion molecule family. All ICAM proteins are type I transmembrane glycoproteins, contain 2-9 immunoglobulin-like C2-type domains, and bind to the leukocyte adhesion LFA-1 protein. This protein is expressed on the surface of telencephalic neurons and displays two types of adhesion activity, homophilic binding between neurons and heterophilic binding between neurons and leukocytes. It may be a critical component in neuron-microglial cell interactions in the course of normal development or as part of neurodegenerative diseases.
Specifications
| ICAM-5 Precursor | |
| Polyclonal | |
| Unconjugated | |
| ICAM5 | |
| CD50; Icam3; ICAM-3; Icam5; ICAM-5; intercellular adhesion molecule 3; intercellular adhesion molecule 5; intercellular adhesion molecule 5, telencephalin; telencephalin; TLCN; TLN | |
| Goat | |
| Ammonium sulfate precipitation | |
| RUO | |
| 7087 | |
| -20°C, Avoid Freeze/Thaw Cycles | |
| Liquid |
| Immunohistochemistry (Paraffin), Western Blot | |
| 0.5 mg/mL | |
| TBS with 0.5% BSA and 0.02% sodium azide; pH 7.3 | |
| Q9UMF0 | |
| ICAM5 | |
| Synthetic peptide sequence (ESPAEGEVFAIQ) corresponding to the C-terminus amino acids of ICAM5 (aa 909-921). | |
| 100 μg | |
| Primary | |
| Human | |
| Antibody | |
| IgG |
Product Content Correction
Your input is important to us. Please complete this form to provide feedback related to the content on this product.
Product Title
Spot an opportunity for improvement?Share a Content Correction