missing translation for 'onlineSavingsMsg'
Learn More

Invitrogen™ ICAD Monoclonal Antibody (K70038_3B1), Invitrogen™

Mouse Monoclonal Antibody

Brand:  Invitrogen™ MA556269

 View more versions of this product

Product Code. 30199014

  • £760.00 / 200µg

Please to purchase this item. Need a web account? Register with us today!

This item is not returnable. View return policy

Description

Description

Sequence of this protein is as follows: GLKWKNVARQ LKEDLSSIIL LSEEDLQMLV DAPCSDLAQE LRQSCATVQR LQHTLQQVLD QREEVRQSKQ LLQLYLQALE KEGSLLSKQE ESKAAFGEEV DAVDTGISRE TSSDVALASH ILTALREKQA PELSLSSQDL ELVTKEDPKA LAVALNWDIK KTETVQEACE

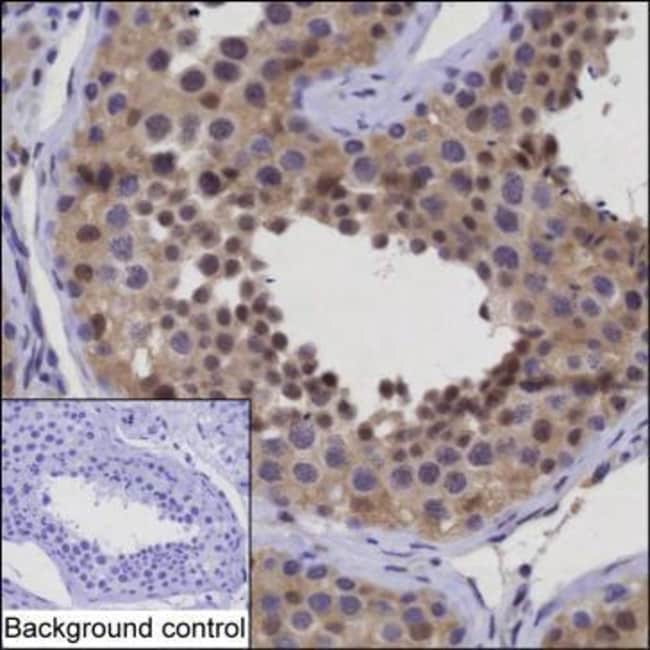
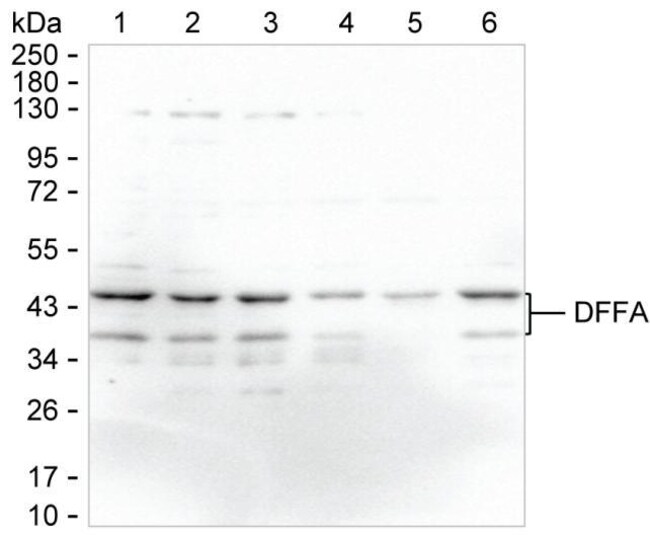
ICAD is the inhibitor of caspase-3-activated DNase which is a substrate that controls nuclear apoptosis. ICAD has two isoforms: a functional isoform of 45kDa, ICAD-L/DNA fragmentation factor (DFF) 45; and a 35kDa isoform, ICAD-S/DFF35. Although both ICAD-L and ICAD-S can bind and inhibit CAD, only ICAD-L was reported to be functional. ICAD is cleaved to be inactivated and allow caspase-activated DNase (CAD) to execute nuclear internucleosomal apoptotic DNA fragmentation. In non-apoptotic cells, CAD is complexed with its inhibitor, ICAD. The activation of the CAD/ICAD complex occurs through the caspase 3-mediated cleavage of ICAD at residues 117 and 224, which results in three ICAD fragments that are then released from CAD. In addition to its DNase inhibitory activity, ICAD acts as a CAD specific folding chaperone. There are recent reports that ICAD is a potential target for restoring a normal apoptotic signal transduction pathway in colon and brain cancer cells. Two alternatively spliced transcript variants encoding distinct isoforms have been found for the ICAD gene.
TRUSTED_SUSTAINABILITY
Specifications

Specifications

ICAD
Monoclonal
1 mg/mL
PBS with 50% glycerol, 0.5% BSA and 0.09% sodium azide
O00273
DFFA
Recombinant human DFFA (immunogen range is 121-290).
200 μL
Primary
Human
Antibody
IgG1
Immunohistochemistry (Paraffin), Immunoprecipitation, Western Blot
K70038_3B1
Unconjugated
DFFA
A330085O09Rik; DFF; DFF1; DFF35; Dff45; DFF-45; Dffa; DNA fragmentation factor 45 kDa subunit; DNA fragmentation factor subunit alpha; DNA fragmentation factor, 45kDa, alpha polypeptide; DNA fragmentation factor, alpha subunit; H13; ICAD; ICAD-L; ICAD-S; Inhibitor of CAD; RP23-121D17.3
Mouse
Protein A
RUO
1676
Store at 4°C short term. For long term storage, store at -20°C, avoiding freeze/thaw cycles.
Liquid
Product Suggestions

Product Suggestions

Videos
SDS
Documents

Documents

Certificates
Promotions

Promotions

Product Content Correction

Your input is important to us. Please complete this form to provide feedback related to the content on this product.

Product Title

By clicking Submit, you acknowledge that you may be contacted by Fisher Scientific in regards to the feedback you have provided in this form. We will not share your information for any other purposes. All contact information provided shall also be maintained in accordance with our Privacy Policy.

Thank You! Your feedback has been submitted. Fisher Scientific is always working to improve our content for you. We appreciate your feedback.